Petco Text Logo
Petco Pet Logo

Should my dog's carnassial teeth be removed if he shows no pain?

Updated On September 23rd, 2025

Pet's info: Dog | Mixed Breed Small (up to 22lb) | Male | neutered | 5 years and 5 months old | 15 lbs

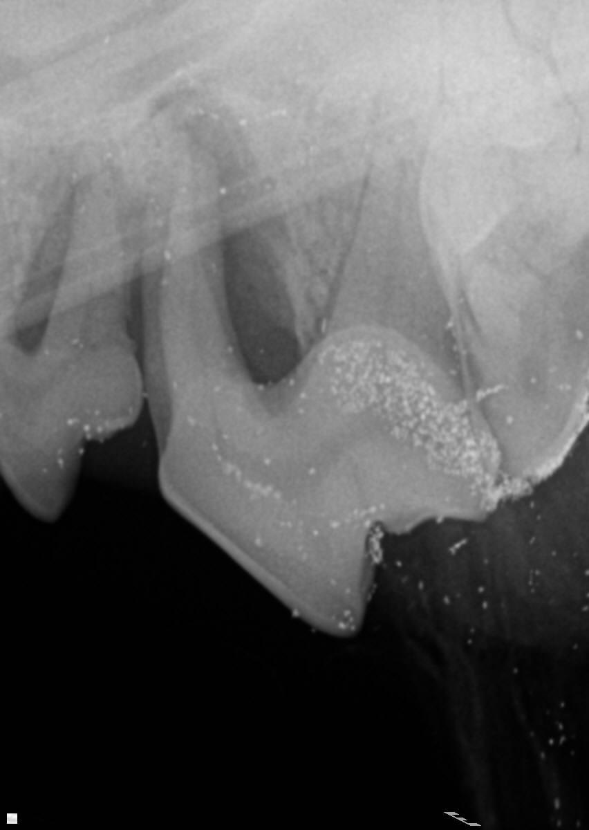
Our dog had his teeth cleaned a few months ago. During the cleaning the vet had concerns about his carnassial teeth. He said 1 root was exposed, 1 root was good, and 1 root was so-so. He said it was somewhat rare and initially said we could "wait and see" or go to an expert. However, he later changed his mind and said they should be removed. I wondering if they really need to come out. My dog does not appear to be in any pain.

This question includes photos that may contain sensitive content. Click to view.

View more to consider that the photos may include sensitive content.

1 Answer

Most Helpful Answer

Image profile

Answered By Jenna Beyer, DVM, MBA, cVMA

Veterinarian, Certified Veterinary Acupuncturist

Published on October 2nd, 2017

Based on the attached pictures, I would recommend removal of the carnassial tooth as well as the too the next to it. There is significant loss of bone around the roots and should really come out now. The vet may have recommended referral to a vet with more experience as these teeth can be challenging to remove due to their size, location, and number of roots.

Vote icon

1Pet Parents found this answer helpful

image
Have A Vet Question?

Book an appointment with the pros – our expert vets are here to help.

Sponsored