Petco Text Logo
Petco Pet Logo

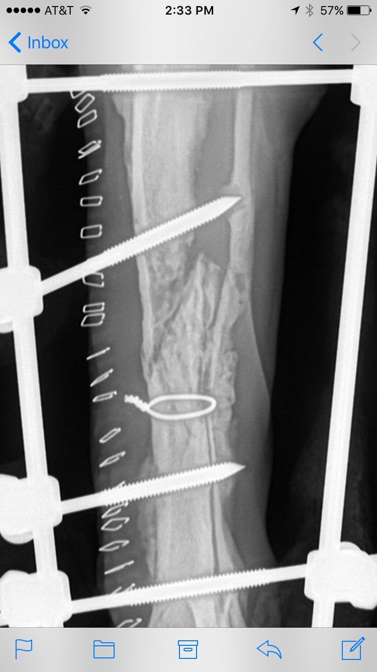
Dog's broken leg fixator not healing. Should I get a second opinion?

Updated On September 23rd, 2025

Pet's info: Dog | Mixed Breed Medium (23 - 60lb) | Male | neutered | 40 lbs

My 1.5 year old dog broke his back leg 23 days ago. We had an external fixator put in/on under the advice of our orthopedic vet. So far, our vet doesn't explain things clearly. All he would tell me is that it's not healing as quickly as he had hoped but to just keep him as still as possible and hope for the beat. Should I get a 2nd opinion? The surgery was $3k so I can't spend any more than I already have if he's right. I'm desparate to heal my baby quickly and safely.

This question includes photos that may contain sensitive content. Click to view.

View more to consider that the photos may include sensitive content.

1 Answer

Most Helpful Answer

Image profile

Answered By Lindsey Edwards MVB, BSc, IVCA

Veterinarian

Published on May 10th, 2017

3weeks is quite a short recovery time, there is some evidence of early callous around the fracture but this is still poorly organized. I would also recommend further rest and repeat xrays regularly up until 6weeks before any further intervention is considered. Cage rest should be planned

Vote icon

1Pet Parents found this answer helpful

image
Have A Vet Question?

Book an appointment with the pros – our expert vets are here to help.

Sponsored