Petco Text Logo
Petco Pet Logo

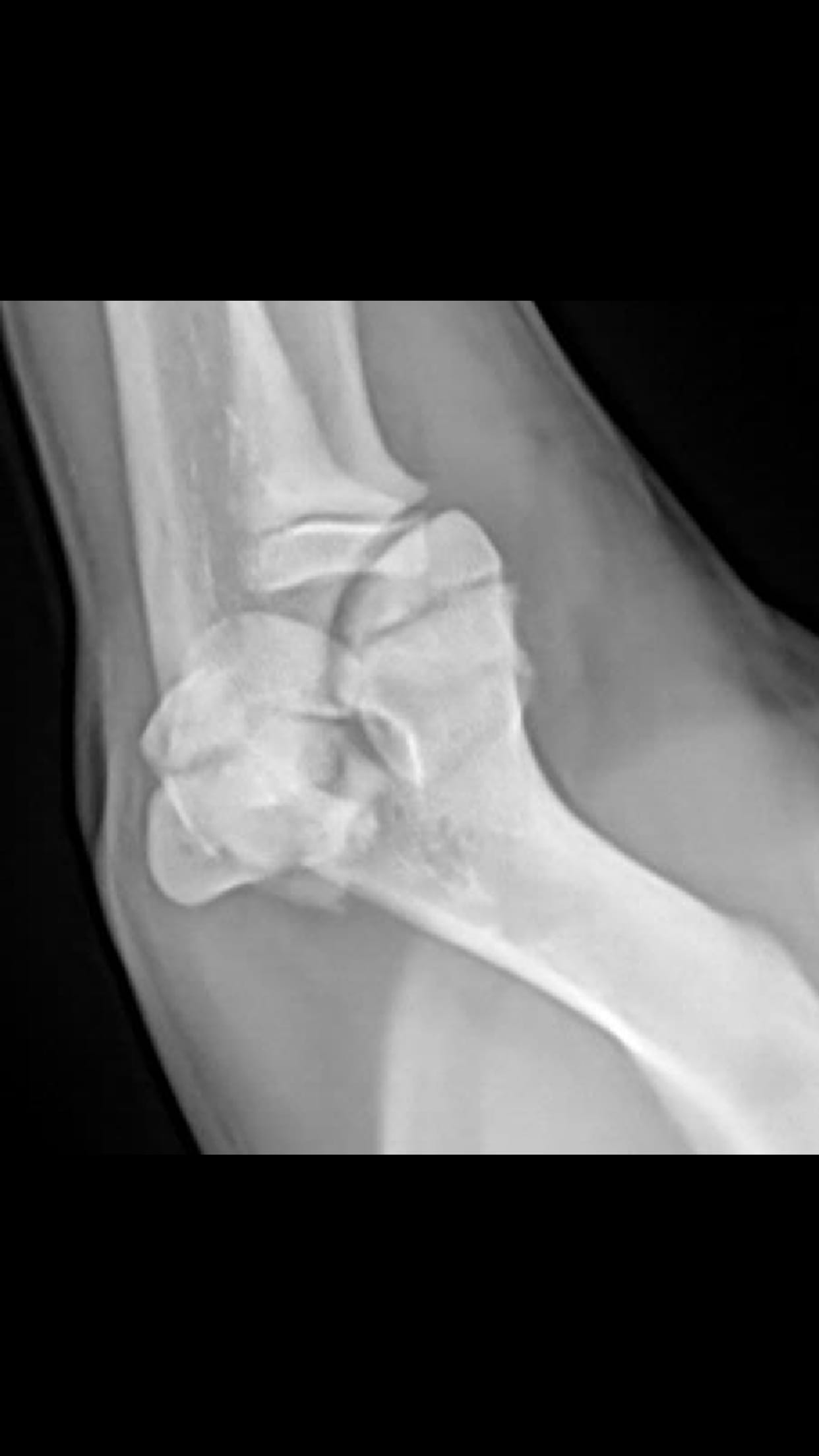
Is surgery necessary for my 4-month-old bulldog's fractured elbow?

Updated On September 23rd, 2025

Pet's info: Dog | English Bulldog | Male | unneutered | 20 lbs

My English bulldog jumped and landed wrong fracturing his elbow. My vet recommending surgery but wanted to confirm if surgery is route to go, or a splint will be ok? My puppy’s is 4 months old

This question includes photos that may contain sensitive content. Click to view.

View more to consider that the photos may include sensitive content.

2 Answers

Most Helpful Answer

Image profile

Answered By Claudia Fioravanti

Veterinarian

Published on February 28th, 2019

Hi, it is impossible to keep an elbow still enough to allow healing of the fracture.. being a joint there is always the tendency to move. So yes I agree that surgery would be the way forward. Hope Rubble makes a speedy recovery.!

Vote icon

1Pet Parents found this answer helpful

Other Answers

  • Image profile

    Answered By Dr. Melanie, BVSc MS

    Veterinarian

    Published on January 10th, 2017

    I am so sorry Bleu fell and fractured his elbow! Without seeing him in person or the x-rays, I can't say for certain a splint is a viable option. I will, however, give you my opinion on the situation with what you have told me. I would do the surgery. Bleu is a young puppy who still has growing to do, and conservative treatment (splint and rest) runs the risk of affecting the growth of his leg should it not heal correctly. An incorrectly healed fracture could be painful, and would impact on his movement. That would mean surgery down the line to fix this abnormal growth and incorrectly healed fracture. It's best to have the surgery done to ensure the fractured bones heal in their correct anatomical position, and so there isn't an impact on his growth or movement. You are certainly welcome to take Bleu into another vet for a second opinion, but my opinion based on my experience is to have the surgery done.

    Vote icon

    1Pet Parents found this answer helpful

See More Answers
image
Have A Vet Question?

Book an appointment with the pros – our expert vets are here to help.

Sponsored