Petco Text Logo
Petco Pet Logo

My dog had toe cancer surgery. What's her long-term prognosis?

Updated On September 23rd, 2025

Pet's info: Dog | Mixed Breed Large (61lb +) | Female | spayed | 6 years and 1 month old | 95 lbs

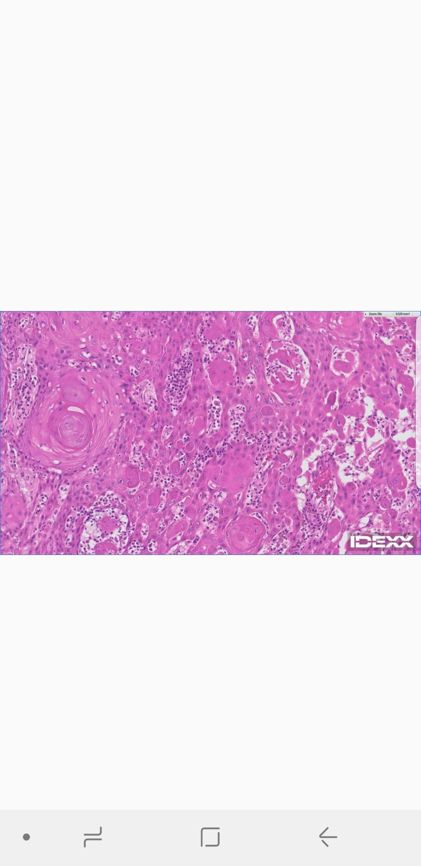
My dog was diagnosed with Squamous cell carcinoma and we had the toe amputated. Our vet is confusing us on her survival rate and we just want a second opinion. Please be bold and upfront with us. How long does she have? If it didn't metastasize to her lungs I know she has a bit longer we will do xray every 6 months now to be sure. Do u think she has a year? Two? Could she live out a normal long life if it's all gone? I've attached pics. Thanks

This question includes photos that may contain sensitive content. Click to view.

View more to consider that the photos may include sensitive content.

1 Answer

Most Helpful Answer

Image profile

Answered By Andrea M. Brodie, DVM

Veterinarian

Published on April 16th, 2018

survival rates are just statistics. If you have a 95% survival rate for x amount of years, there will still be 5% of those who will not survive that time. At the end of the day is is either you live long or you don't. That said, the pathology report is actually very favorable 1) the surgeon managed to remove the tumor in its entirety with good margins (well into the healthy tissue) 2) The cells of the tumor are well differentiated: this means it was slow growing and usually does not metastasise 3) considering your dog is already 6 years old,, and a large breed, the natural life expectancy is maybe another 6 to 8 years maximum. The fact that the tumor was removed in its entirety with good margins, no lymph nodes were involved and no lung metastases present means that it is likely not going to recur. If you regularly check your dog's paws and skin and have any suspicious findings examined right away, you can catch any recurrences early and they can be dealt with. Overall I would not worry too much about survival rate. I think Abby has a good chance for a long happy and healthy life. Nothing is certain with a living being, but the chances are good!

Vote icon

1Pet Parents found this answer helpful

image
Have A Vet Question?

Book an appointment with the pros – our expert vets are here to help.

Sponsored