Petco Text Logo
Petco Pet Logo

My cat has an old broken leg. Should I amputate for pain relief?

Updated On September 23rd, 2025

Pet's info: Cat | Mixed Breed | Female | unspayed | 5 lbs

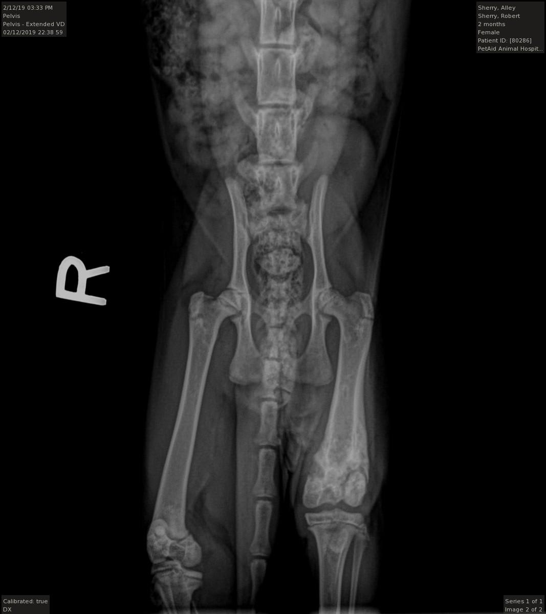
I rescued a young cat (aprox 4 months old) that had a bad limp while walking. Upon taking her to the Vet I discovered that she had her back left leg broken badly while very young and it had never been set (see X-Rays). The vet is recommending amputation. I would like another opinion. She runs, jumps, plays and sleeps on her left side, but limps badly walking. Thank You..

This question includes photos that may contain sensitive content. Click to view.

View more to consider that the photos may include sensitive content.

1 Answer

Most Helpful Answer

Image profile

Answered By Linda G, MS, DVM

Veterinarian

Published on February 20th, 2019

Hello. I agree with your vet. Allie will always be in pain as long as she has to deal with that bad leg. Removing the leg will get rid of her pain, & a 3 legged cat can do very, very well. I would consider the surgery as the leg will never improve on its own. Thank you so much for rescuing & caring for her & thanks for using Petco Pet Education Center, formerly Petcoach.

Vote icon

1Pet Parents found this answer helpful

image
Have A Vet Question?

Book an appointment with the pros – our expert vets are here to help.

Sponsored