Petco Text Logo
Petco Pet Logo

My puppy has a broken leg. Can it heal with just a splint, no surgery?

Updated On September 23rd, 2025

Pet's info: Dog | Golden Retriever | Male | unneutered | 8 months and 6 days old | 60 lbs

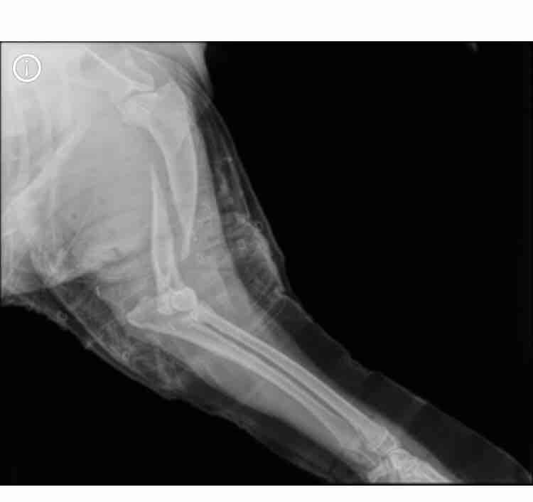
Hi What are the chances of my dogs broken mid humerus bones growing back correctly or at least partially together with a permanent splint only. Do bones shift back into place in younger dogs better. I cannot seem to afford the pins plate surgery anymore and I’m worried the oblique fracture may not heal with splint only. As long as he can regain access to his leg again and a great amount of strength in it then thatll be fine because I know it won’t be a perfect healing Based on X-ray any thoughts

This question includes photos that may contain sensitive content. Click to view.

View more to consider that the photos may include sensitive content.

2 Answers

Most Helpful Answer

Image profile

Answered By Linda G, MS, DVM

Veterinarian

Published on July 11th, 2018

Hello. I think I answered your question previously about Max, but there was no x-ray. Now seeing the pictures, there is certainly a great concern as to whether the bone will knit together with just a splint. Since orthopedic repair is out of the question, this is your only recourse. Once, many years ago, I radiographed an older lab with a shattered femur. There were multiple large pieces none of them even remotely near each other. My advice to the owners was to repair the leg with multiple pins & plates or amputate the leg. They elected to take the dog home & confine it - no splint. 2 years later, that dog walked in on his own. The leg supported his weight but was definitely bumpy & a little crooked. I will never doubt the amazing healing power of the body. I cannot guarantee that this will happen with Max, but I would definitely give it a try. If you keep him restrained, leash walk only, & if he becomes too rambunctious, consider tranquilizers ( often used in difficult orthopedic repairs when the patient just will not behave himself ), he may heal just fine. If you have not considered CareCredit, you might check them out. It is a medical credit card that most veterinarians accept & may allow you to pay off the surgery over a 6-12 month period, or even longer. Max is young & healthy. It is amazing how the body will heal itself. Good luck & thanks for using Petco Pet Education Center, formerly Petcoach.

Vote icon

1Pet Parents found this answer helpful

Other Answers

  • Image profile

    Answered By Laura Johnson VMD

    Veterinarian

    Published on July 17th, 2017

    HI, thanks for using Petco Pet Education Center, formerly Petcoach! Poor Bailey! The picture of the X-ray you provided looks like a radius/ulnar fracture. If your Vet could sedate Bailey and try to get better alignment of the fracture, it COULD possibly heal with just a splint. You would need to strictly rest her for 6-8 weeks, be able to bring her back frequently for splint changes and repeat X-rays and be prepared for it to not heal well. It may be worth a shot. Please though trust your Vet's opinion he/she knows best because they have seen your dog and know her history! Good luck!

    Vote icon

    1Pet Parents found this answer helpful

See More Answers
image
Have A Vet Question?

Book an appointment with the pros – our expert vets are here to help.

Sponsored