Petco Text Logo
Petco Pet Logo

What's the best treatment for my dog's cruciate ligament injury?

Updated On September 23rd, 2025

Pet's info: Dog | Mixed Breed Large (61lb +) | Female | spayed | 6 years old | 68 lbs

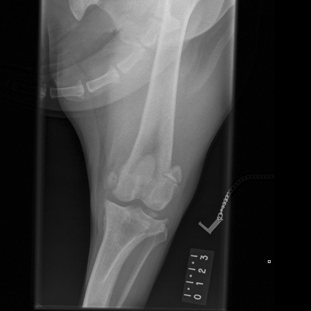
I’m after a 2nd opinion; not sure what to do.My dog is fully insured so not a decision based on cost.She damaged rear left cruciate ligament back in June. Since then her limp vanished only came back recently after intense running. My vet took x-rays (attached). She is a rescue dog,about 6 yrs old.I have also attached pic of her so you get an idea of the type of dog she is. 31kg. What’s best-operate or not? I want to do what’s best for her without undue pain or anxiety. I’m at a loss what to do.

This question includes photos that may contain sensitive content. Click to view.

View more to consider that the photos may include sensitive content.

1 Answer

Most Helpful Answer

Image profile

Answered By Dr. Heidi DVM, CVA, CCRT, CVTP, CVSMT, CVCH

Veterinarian, Certified Veterinary Acupuncturist, Certified Canine Rehabilitation Practitioner

Published on January 5th, 2018

The answer to your question really comes down to her examination and your goals. It is possible for a cruciate ligament to be partially torn or fully torn. If it is fully torn, the knee is unstable and surgery is the best option to stabilize the knee and slow down the development of arthritis in the joint. If the cruciate ligament is only partially torn, you can see signs like you have in Hambro where she seems pretty normal unless she injures the cruciate ligament again with high activity. For a large dog who is young, partial cruciate ligament injures are often problematic because they inhibit dogs from being able to play normally without being painful, but it sounds like Hambro has done well for 6 months. Another consideration is that if she has a partial tear, she may completely tear the cruciate ligament in the future which will necessitate surgery. There is also a potential complication of cruciate injuries that involve a tear in the meniscus. If that happens, she will be consistently lame and will need surgery. Unfortunately, only you can decide on the right answer for Hambro. Surgery provides the best possibility for return to normal activity without lameness, but certainly isn't without potential risks and complications. I have attached a handout on cruciate ligament injuries below. https://www.veterinarypartner.com/Content.plx?P=A&S=0&C=0&A=1975 Finally, if this is a partial cruciate injury and you would like to avoid surgery, I would recommend trying to find a rehabilitation veterinarian to help you with physical therapy exercises to strengthen Hambro. They will also be able to give you a second opinion. Hopefully you can find a vet in the UK at this site. http://www.caninerehabinstitute.com/Find_A_Therapist.html http://www.caninerehabinstitute.com/action.lasso Good luck! I hope that was helpful. Thanks for using PetCoach.

Vote icon

1Pet Parents found this answer helpful

image
Have A Vet Question?

Book an appointment with the pros – our expert vets are here to help.

Sponsored