Petco Text Logo
Petco Pet Logo

My cat fell and isn't stepping on his leg. Is his bone broken?

Updated On September 23rd, 2025

Pet's info: Cat | Ragdoll | Male | 5 months and 22 days old | 8.8 lbs

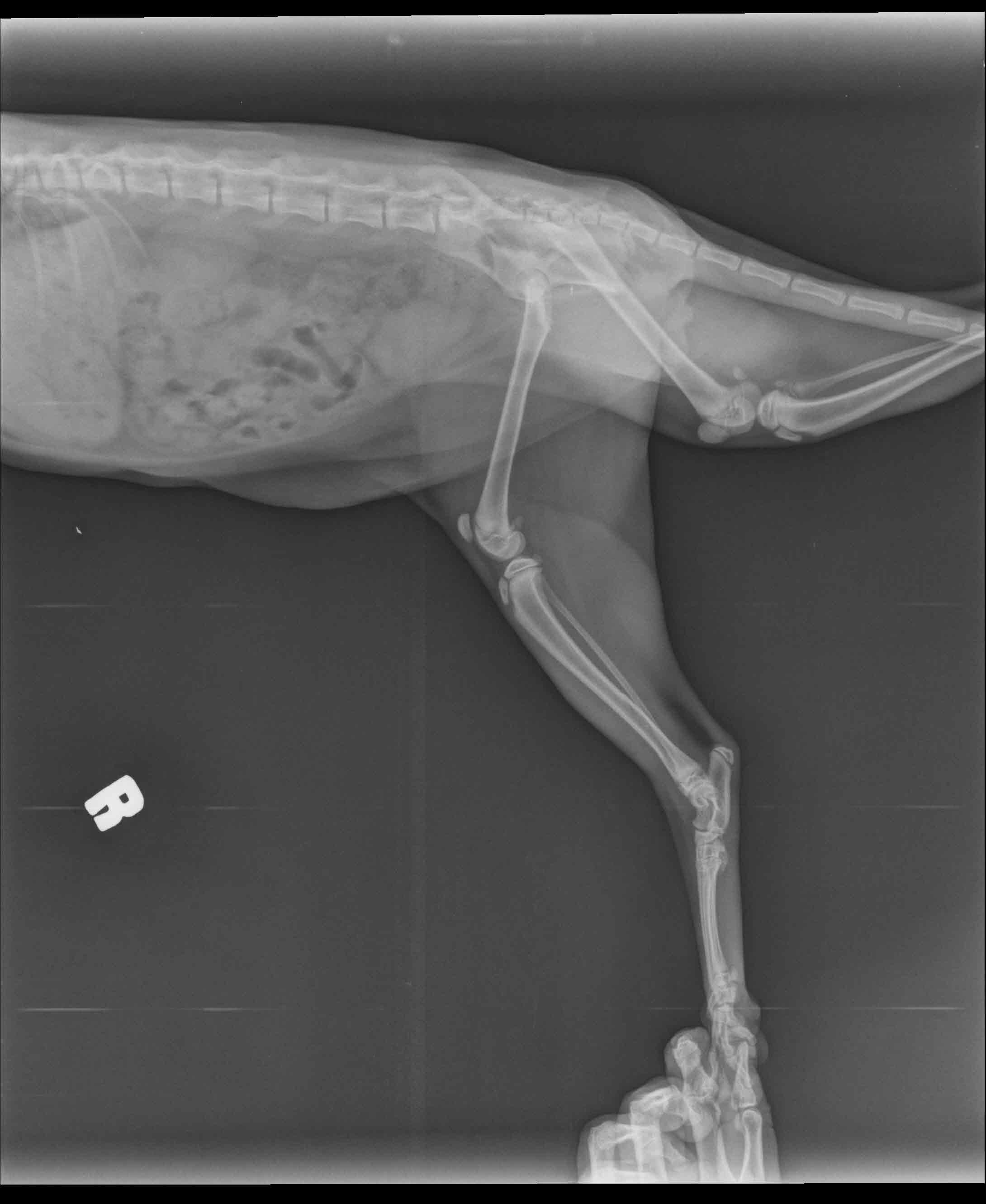
Hello, I have a five months male cat. While he was playing on the table, accidently he fallen down and screamed. After he stand up he start to not stepping on the foot. After veterinary control, they said his foot bone was broken. But i am not sure that it is true. In our country the veterinaries can lied about the situation for earning much money. I atteached the x-ray. Could you check is there a fracture?

This question includes photos that may contain sensitive content. Click to view.

View more to consider that the photos may include sensitive content.

2 Answers

Most Helpful Answer

Image profile

Answered By Jenna Beyer, DVM, MBA, cVMA

Veterinarian, Certified Veterinary Acupuncturist

Published on August 23rd, 2017

I am pretty sure I can see a fracture of the tibia. If you look closely at the third picture and compare the two legs, the long bone right above the foot does not look the same as the other leg. These fractures can usually be healed with splinting or surgery, cage confinement, and pain management.

Vote icon

1Pet Parents found this answer helpful

Other Answers

  • Image profile

    Answered By Jessica Keay, DVM

    Veterinarian

    Published on August 23rd, 2017

    I am very sorry to hear about your kitty. Unfortunately it does appear he has a broken bone, though in the photo the bone I see broken is actually his leg bone- not the foot. If you look at the bones just above the foot/ankle, the larger of the two long bones has a fracture (this is the tibia). We would need to see an additional view of the bone to know how displaced the fracture is and the best course of action to repair the break.

    Vote icon

    1Pet Parents found this answer helpful

See More Answers
image
Have A Vet Question?

Book an appointment with the pros – our expert vets are here to help.

Sponsored