Petco Text Logo
Petco Pet Logo

Dog's X-rays clear, but vet suspects bone cancer. How to diagnose?

Updated On September 23rd, 2025

Pet's info: Dog | Rottweiler | Male | neutered | 4 years and 5 months old | 110 lbs

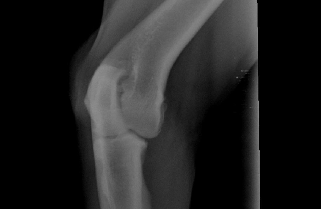
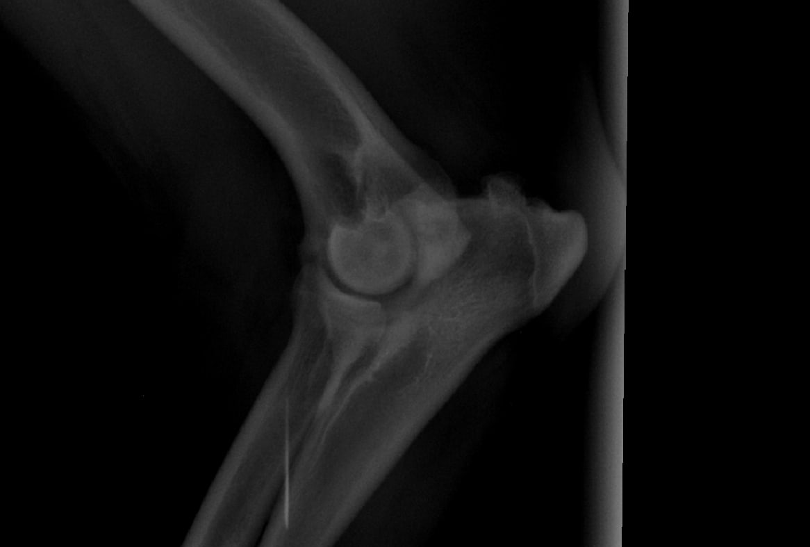
Hi, I recently asked a question on here regarding my dog. we took him for a 2nd opinion regarding his right front leg. they too cannot see what is wrong - the vet suspects bone cancer or broken cartridge in his humorous. All they did was give us anti inflams for 4 weeks and said come back for more xtrays. My question. if it is bone cancer - then Why are they making us wait for it to progress. I have attached the Xrays again. Why have they not done a bone biopsy? this is our 2nd opinion already

This question includes photos that may contain sensitive content. Click to view.

View more to consider that the photos may include sensitive content.

1 Answer

Most Helpful Answer

Image profile

Answered By Jenna Beyer, DVM, MBA, cVMA

Veterinarian, Certified Veterinary Acupuncturist

Published on August 18th, 2017

I don't see any abnormalities in the radiographs that you show. Bone cancer can occasionally be difficult to diagnose before it is very severe. To biopsy a bone for possible cancer, you need to know where in the bone to sample, so it is not as simple as just picking any part you want. Advanced diagnostics like MRI or CT may be more helpful at looking more closely at the soft tissue (muscles, tendons, ligaments) and bone to see if there are any abnormalities. You will likely need a referral to a specialty hospital for this procedure. If you are concerned about something life-threatening like bone cancer, I would recommend that you speak with either vet about a referral.

Vote icon

1Pet Parents found this answer helpful

image
Have A Vet Question?

Book an appointment with the pros – our expert vets are here to help.

Sponsored