Petco Text Logo
Petco Pet Logo

My dog won't eat, has jaundice & liver patches. Is a biopsy needed?

Updated On September 23rd, 2025

Pet's info: Dog | Mixed Breed Medium (23 - 60lb) | Male | unneutered | 9 years and 10 months old | 43 lbs

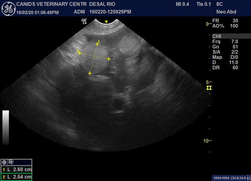
Hello , my dog rio hadn’t been eating anything at all for 7 days now , prior to that he used to eat something here and there , we’ve been to our vet, here are his reports and as for him not eating we’ve kept him on saline and vitamin injections for 15 days now . Firstly they diagnosed with jaundice and now they’ve seen patches in the liver . PS : they’re suggesting to have a biopsy done , but we’re too scared for him because we’ve not had a firm answer from any of these doctors .

This question includes photos that may contain sensitive content. Click to view.

View more to consider that the photos may include sensitive content.

1 Answer

Most Helpful Answer

Image profile

Answered By Stephanie Echols, DVM

Veterinarian

Published on February 24th, 2020

Thanks for using Petco Pet Education Center, formerly Petcoach! I’m sorry to hear Rio isn’t feeling well. I would recommend having the biopsy to find the reason for the elevated liver enzymes. They can’t give you an answer because they don’t have enough information. Elevated liver values isn’t enough to say why. They biopsy should give more information. I would also recommend having them test for leptospirosis. They can also test bile acids for liver function. I hope this helps and you find an answer. Good luck and kisses to Rio!

Vote icon

1Pet Parents found this answer helpful

image
Have A Vet Question?

Book an appointment with the pros – our expert vets are here to help.

Sponsored