Petco Text Logo
Petco Pet Logo

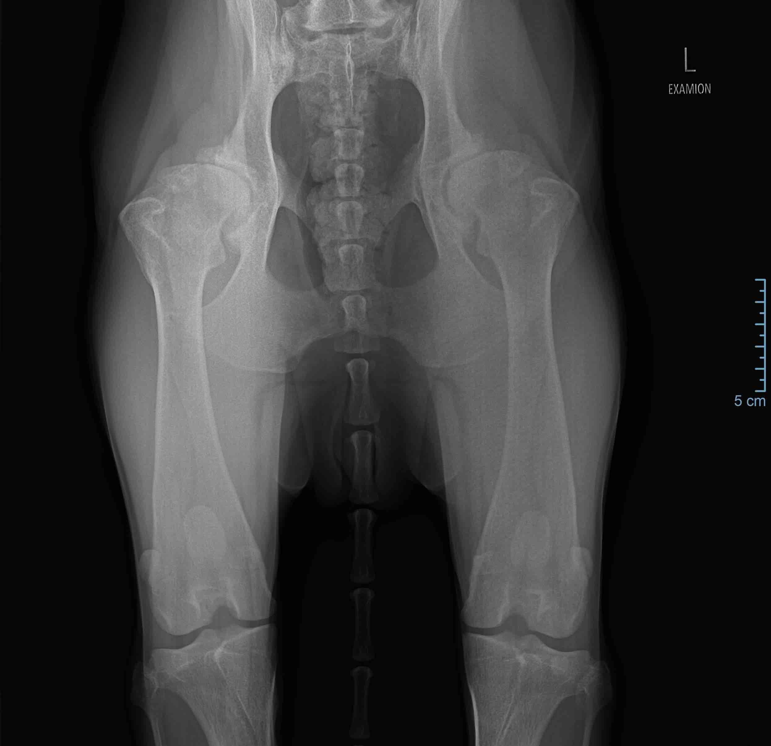
Is hip replacement the best option for my dog's hip arthritis?

Updated On September 23rd, 2025

Pet's info: Dog | Mixed Breed Large (61lb +) | Female | spayed | 7 years and 3 months old

My Lab (32kg, age of 7) is diagnosed with Coxarthrosis. Current options are monthly injection of pain-killer, gold bead implantation and hip replacement. What will be the best option for the dog? Hip replacement sound risky and painful for the dog, but pain management isn’t curing the root cause of the problem.

This question includes photos that may contain sensitive content. Click to view.

View more to consider that the photos may include sensitive content.

1 Answer

Most Helpful Answer

Image profile

Answered By Dr. Strydom, DVM

Veterinarian

Published on October 20th, 2023

Hello, thank you for using Petco Pet Education Center, formerly Petcoach. Sorry to hear that Nina has this issue. Hip replacement is always the best option if they are determined to be a good anesthetic candidate. The surgery is very commonly done and while all surgery is painful, in the long run it is the best option. If you ask human patients how they feel after hip replacement surgery, the vast majority will say they wish they had done it sooner as they feel so much better. That being said, typically dogs will still need some type of pain medication/anti-inflammatories after surgery, definitely short term but maybe even long term. There is no way to know this ahead of time. Hope this helps. Best wishes.

Vote icon

2Pet Parents found this answer helpful

image
Have A Vet Question?

Book an appointment with the pros – our expert vets are here to help.

Sponsored