Petco Text Logo
Petco Pet Logo

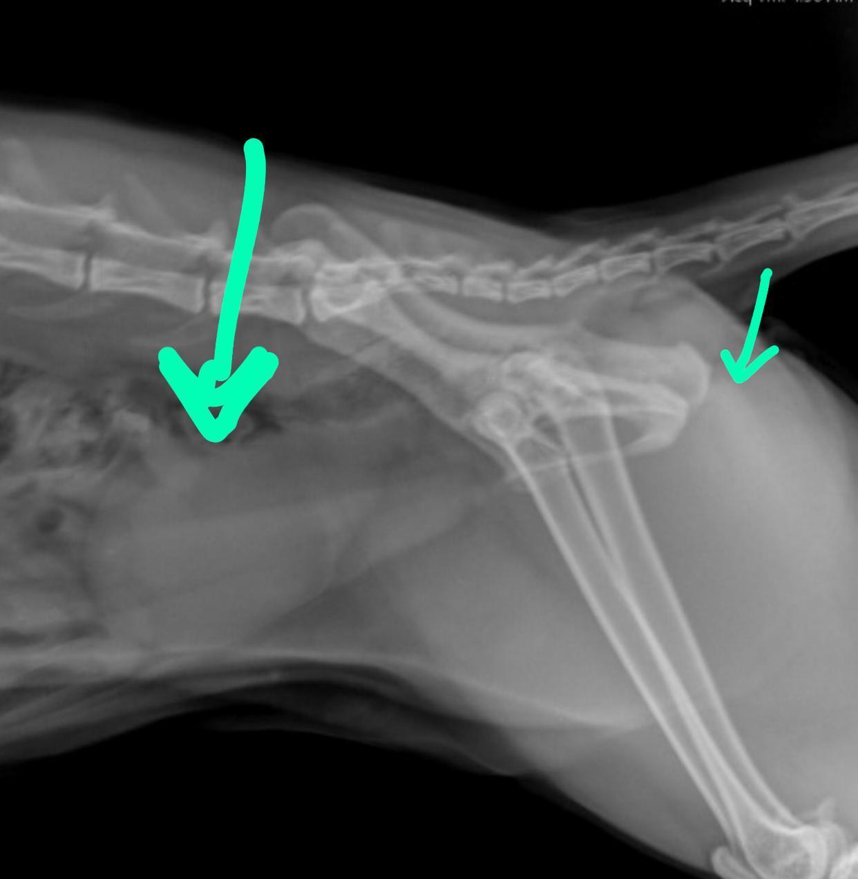
Is my female cat showing signs of a bladder or urethra blockage?

Updated On September 23rd, 2025

Pet's info: Cat | Persian | Female | unspayed | 1 year and 5 months old | 10 lbs

Can you please tell me if there is a problem with my cat’s bladder or urethra (blockage) she’s a female.

This question includes photos that may contain sensitive content. Click to view.

View more to consider that the photos may include sensitive content.

1 Answer

Most Helpful Answer

Image profile

Answered By Tomasz Wnuk

Veterinarian

Published on March 7th, 2021

Hello and thank you for contacting Petco Pet Education Center, formerly Petcoach. It is very hard to see on the attached x-ray if there is any problem with the urinary tract or. Some of the bladder stones come up on a plain x-ray and can be easily seen. I cannot see any obvious stone obstructing the bladder / urethra. However, some stones are radiolucent (do not come up on x-rays) and the cat would need a constrast x-ray or ultrsound of the bladder to detect them. In general, urethral blockage in young female cats are very uncommon. If Marshy is able to pass urine, other urinary tract diseases should be investigated. Urine analysis should be the next step of investigation (to rule in/out infection or bladder crystals) followed by an ultrasound of the abdomen and a blood test.

Vote icon

1Pet Parents found this answer helpful

image
Have A Vet Question?

Book an appointment with the pros – our expert vets are here to help.

Sponsored