Petco Text Logo
Petco Pet Logo

My cat's leg fracture healed wrong. Is amputation the answer?

Updated On September 23rd, 2025

Pet's info: Cat | Domestic Longhair | Female | spayed | 6 months and 7 days old | 6 lbs

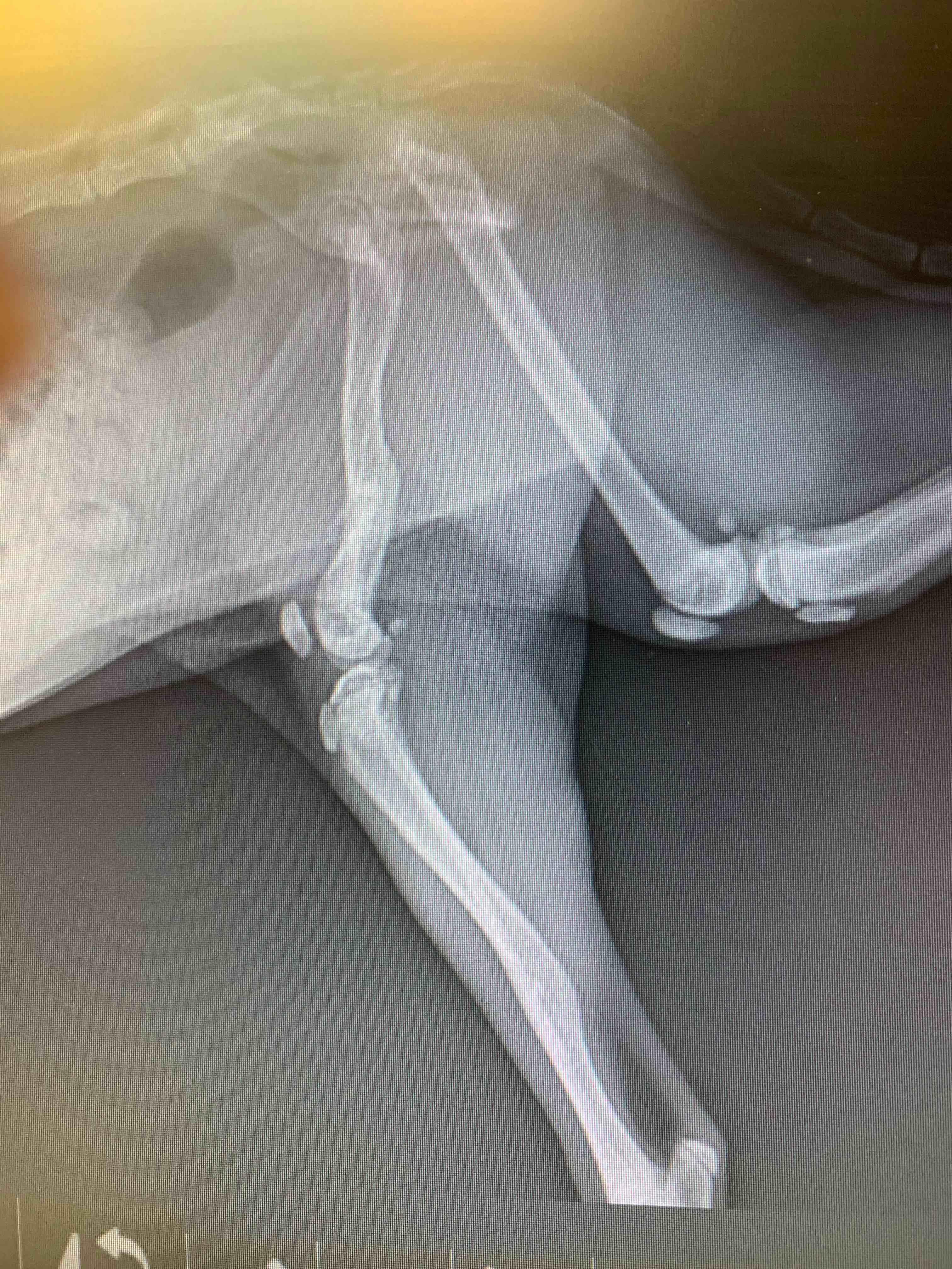
Her tibia & femur were fractured in May. She appeared to heal well until Oct 6. Now she limps a little, sits/lays with leg at odd angles, falls off of laps & furniture, cries out if picked up wrong, has reduced overall play a bit, keeps it still during play, uses it very lightly when jumping/running. Sometimes, she acts like nothing’s wrong. X-rays show misaligned knee, dislocated hip, badly healed femur. Vet #1 says amputate, #2 says no bc she’s using it. Amputate now while she’s small/young?

This question includes photos that may contain sensitive content. Click to view.

View more to consider that the photos may include sensitive content.

1 Answer

Most Helpful Answer

Image profile

Answered By Sara Farmer, DVM

Veterinarian

Published on November 16th, 2019

I think a third option might be available based on the x-ray - an FHO procedure to remove the ball of the femur and allow for more comfort with the dislocated hip. To me it sounds like Maggie is not using her leg much at all, and the vets don't think an FHO would help (which is certainly possible, I'm just suggesting based on what I can see in the x-ray) it sounds to me like amputation might be best. I would worry that she cries out because the leg is sometimes painful.

Vote icon

1Pet Parents found this answer helpful

image
Have A Vet Question?

Book an appointment with the pros – our expert vets are here to help.

Sponsored