Petco Text Logo
Petco Pet Logo

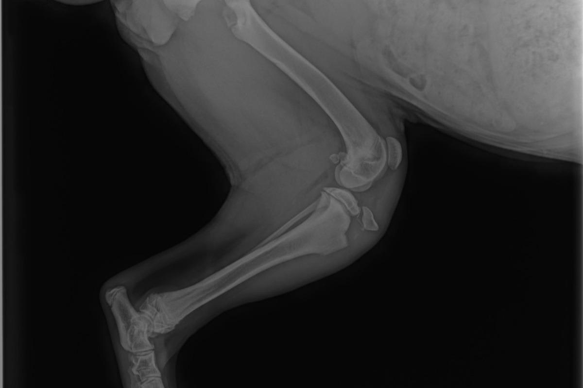
My puppy has a leg fracture. Will it heal without expensive surgery?

Updated On September 23rd, 2025

Pet's info: Dog | Bernese Mountain Dog | Female | unspayed | 5 months and 8 days old | 45 lbs

I have a 5 month old Bernese Mountain Dog, the photo is a x-ray of her leg, we are being told it will cost $3000 to fix the fracture. Will this heal on its own and are they are taking us on a run for our money? Or does this really need a $3000 surgery?

This question includes photos that may contain sensitive content. Click to view.

View more to consider that the photos may include sensitive content.

1 Answer

Most Helpful Answer

Image profile

Answered By Jessica Keay, DVM

Veterinarian

Published on October 7th, 2019

I am so sorry to hear about your puppy! Unfortunately it appears she has a tibial crest avulsion, and the treatment of choice is surgery if you want to have Bailey have the ability to use her leg normally. Unfortunately orthopedic surgeries do cost a great deal of money to perform and so vets have to charge accordingly. You can always see if there is a veterinary school in your area that may offer the surgery at a lower cost, but that isn't always a gaurantee.

Vote icon

1Pet Parents found this answer helpful

image
Have A Vet Question?

Book an appointment with the pros – our expert vets are here to help.

Sponsored