Petco Text Logo
Petco Pet Logo

My dog's back pain keeps returning after medication. What now?

Updated On September 23rd, 2025

Pet's info: Dog | Maltipoo | Male | neutered | 6 years and 4 months old | 11 lbs

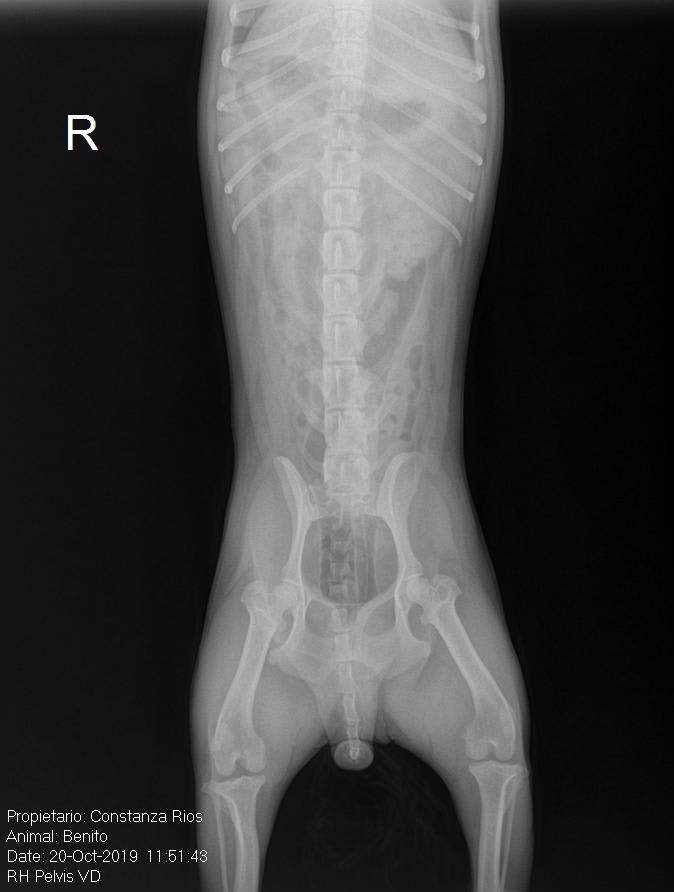
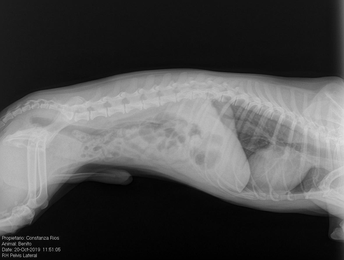
Hi, my dog has been suffering a back pain which I identified once I took him and he shouted. I took him to the vet and they gave him 3 days with anti-inflammatories but once the 3 days passed the pain came back. I took him to the vet again and they gave him 6 days with anti-inflammatories again. We are in day 5 and he has been relatively great but now the pain is coming back since he doesn't want to use the stairs for example. I will attach his x rays.

This question includes photos that may contain sensitive content. Click to view.

View more to consider that the photos may include sensitive content.

1 Answer

Most Helpful Answer

Image profile

Answered By Dr. Elizabeth

Veterinarian

Published on October 24th, 2019

Poor Benito! When pets don't respond as well to anti-inflammaorties, I often try them on steroids (for 2-4 weeks), muscle relaxers and opioid pain medication. During this time, Benito should be crated at all times, allowed outside on a leash only to potty because you MUST make sure he is not moving around too much. You may also look into acupuncture or laser therapy which can also help significantly. Benito should be examined every 2 weeks until he is back to normal. The medications may need to be adjusted based upon his response. I hope this helps and that he feels better quickly.

Vote icon

1Pet Parents found this answer helpful

image
Have A Vet Question?

Book an appointment with the pros – our expert vets are here to help.

Sponsored