Petco Text Logo
Petco Pet Logo

Is my senior chihuahua's enlarged heart and murmur really severe?

Updated On September 23rd, 2025

Pet's info: Dog | Chihuahua | Female | spayed | 12 years old | 7.5 lbs

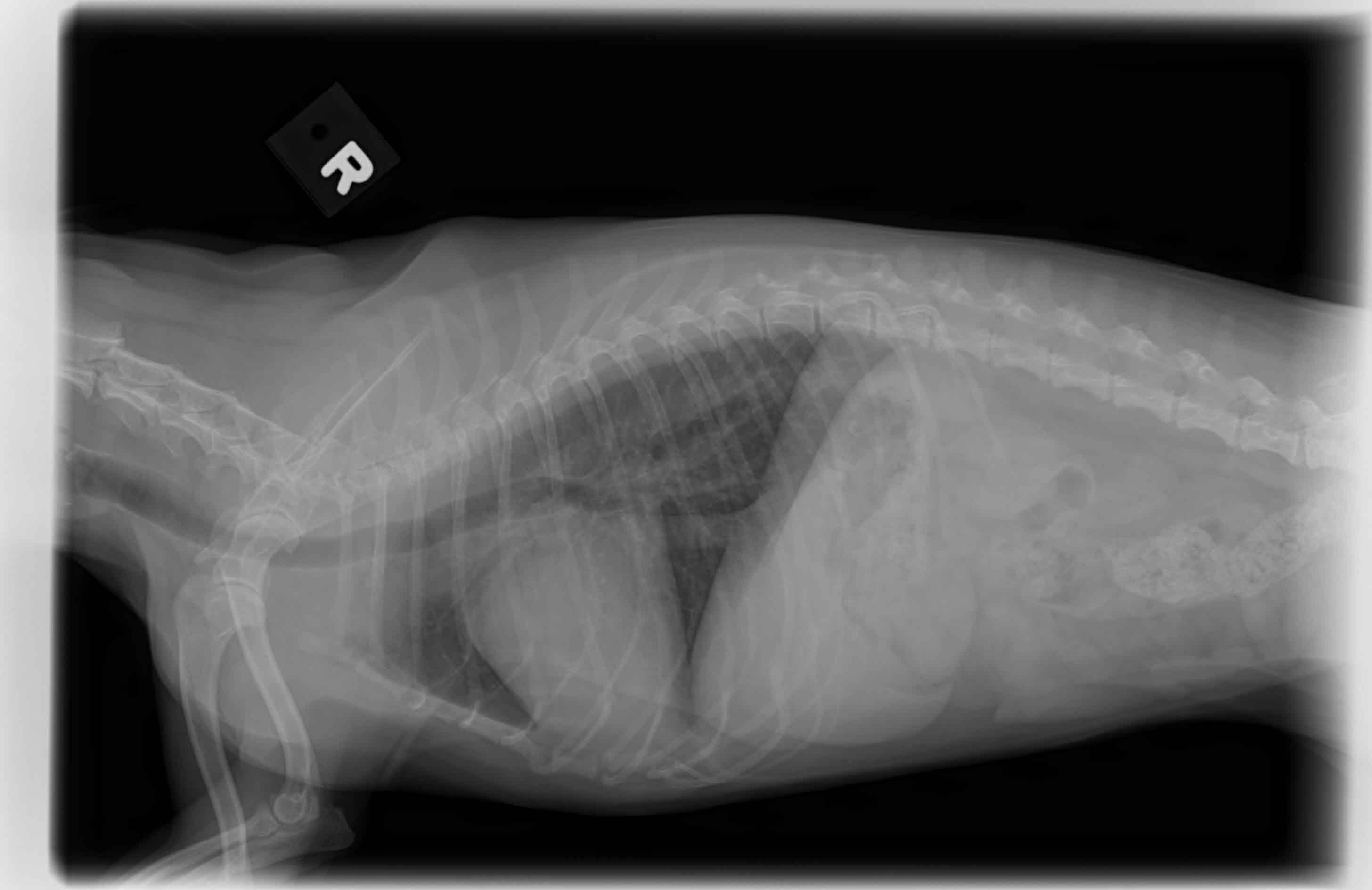
my dog had an upset stomach from people food. took her too a new vet. Told me very "severe heart murmor". I was scared, i had been feeding her Rachel ray which may be linked to enlarged heart. tests and x-ray (didn't see cardiologist yet) and they say her heart is enlarged. Not enough space to explain but they seem a little $$ hungry, scaring me into tons of stuff. is this 12 year old chihuahua heart SEVERELY enlarged? They made it sound extremely enlarged and crazy murmor.

This question includes photos that may contain sensitive content. Click to view.

View more to consider that the photos may include sensitive content.

1 Answer

Most Helpful Answer

Image profile

Answered By Lindsey Edwards MVB, BSc, IVCA

Veterinarian

Published on July 18th, 2019

The heart does indeed appear to be enlarged and the trachea (windpipe) pushed up by the heart which can cause discomfort and coughing. Murmurs and valve disease are quite common in chihuahuas (diet related dilated cardiomyopathy is generally associated with a milder murmur and larger heart). An ultrasound exam to assess the valves and the strength and thickness of the heart muscle or review from a cardiologist is recommended in order to determine the underlying issues as treatment to manage and reduce the symptoms are very different depending on the type of heart condition which is predominant

Vote icon

1Pet Parents found this answer helpful

image
Have A Vet Question?

Book an appointment with the pros – our expert vets are here to help.

Sponsored