Petco Text Logo
Petco Pet Logo

Why is my 6-month-old cat breathing fast? Is lung fluid serious?

Updated On September 23rd, 2025

Pet's info: Cat | Persian | Male | unneutered | 6 months and 2 days old | 6 lbs

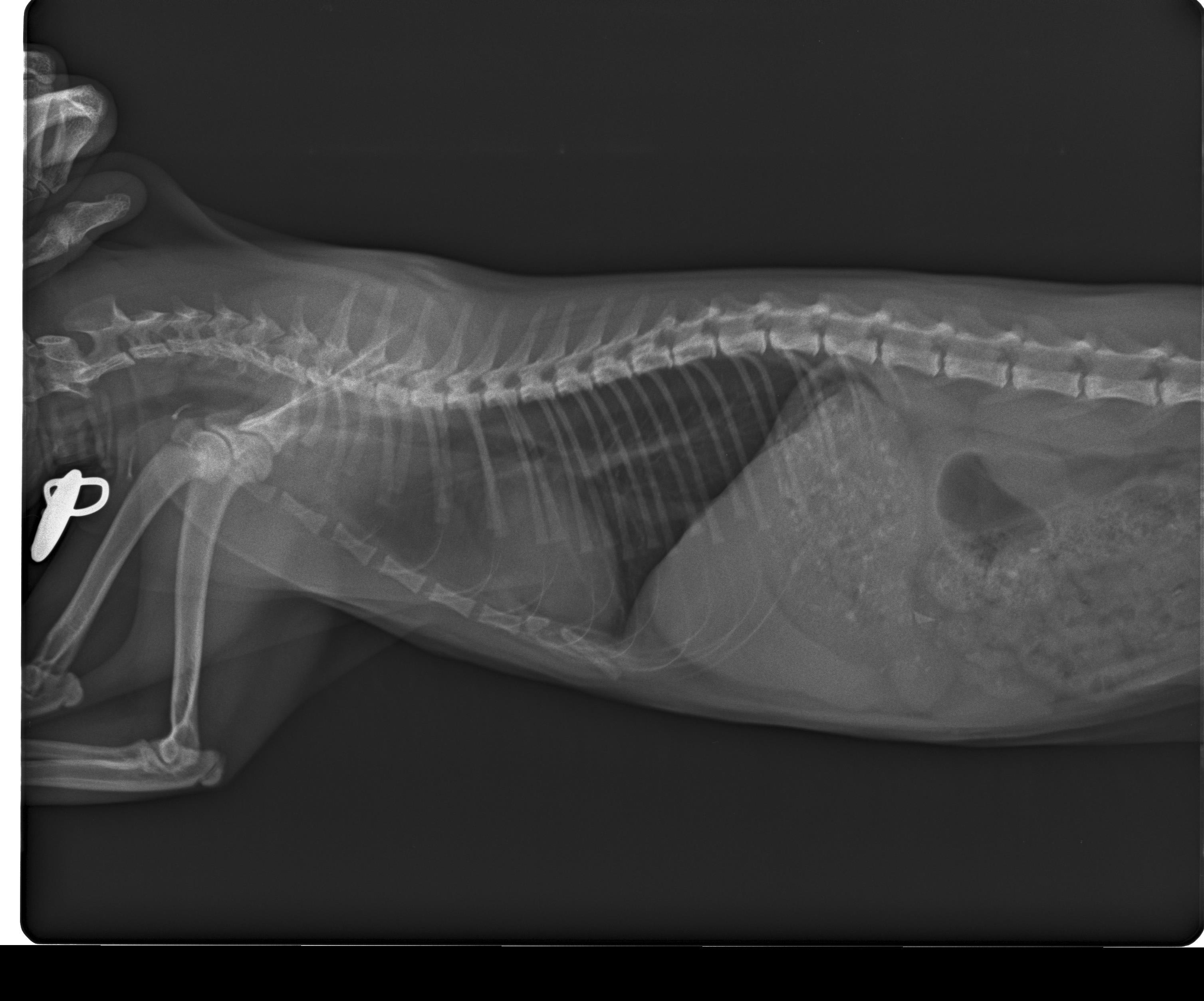
hello, i noticed that my cat (6 months) breathe rate is high even in rest time 60 to 70 per minute. i took it to vet, he said normal, the whether is hot. i took the cat yesterday to another vet, he made an x-ray for lungs and he said there is some fluid in lungs. he gave me an antibiotic for the cat "Marbocyl P5mg" with some instructions, and he said he will be better in 3 days. pls tell me if this is right. i will attach the xray pic thank you in advance

This question includes photos that may contain sensitive content. Click to view.

View more to consider that the photos may include sensitive content.

1 Answer

Most Helpful Answer

Image profile

Answered By Jenna Beyer, DVM, MBA, cVMA

Veterinarian, Certified Veterinary Acupuncturist

Published on June 7th, 2019

It is always hard to look at x-rays on a computer screen like this. I am not seeing clear fluid, but I can't be certain. Marbocyl is a type of antibiotic that can be used with bacterial pneumonia. Other causes of increased respiratory rate are being hot (though this isn't the most common cause), infection (bacterial and viral), heart disease (needs a heart ultrasound), asthma, pain, anemia, kidney disease, among others. If the antibiotics do not show improvement in another day or two, I would take Leo back to the vet for additional testing (including other views of the chest x-rays).

Vote icon

1Pet Parents found this answer helpful

image
Have A Vet Question?

Book an appointment with the pros – our expert vets are here to help.

Sponsored