Petco Text Logo
Petco Pet Logo

My dog died after surgery for a tumor; did my daughter cause it?

Updated On September 23rd, 2025

Pet's info: Dog | Poodle | Male | unneutered | 7 years and 7 months old | 22 lbs

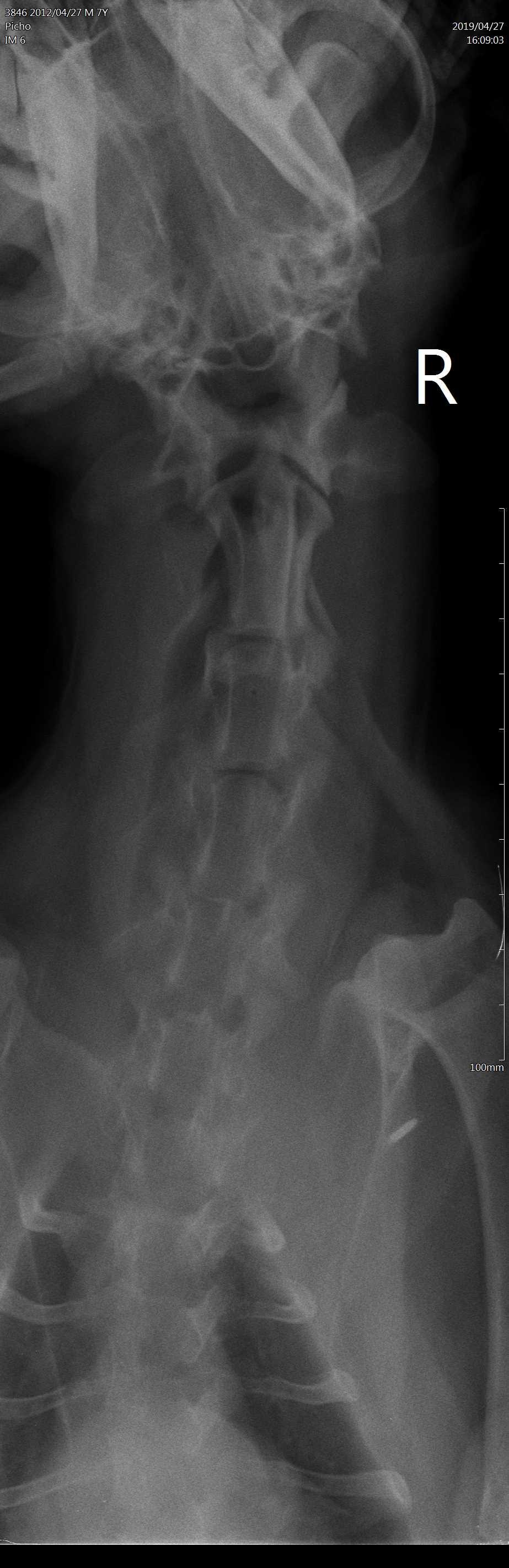
Dears, My dog had a seizure 1 month ago, 2 days ago he was vomiting. Then he was playing with my daughter and she accidentally hit him somewhere in the neck as she says, in the morning we found him paralyzed with all legs he can't walk. We had an X-ray, attached see pics. Our Vet said it could be a tumor he did a surgery, our dog dies 2 days after with tromboembolia sadly. Please advise according to Xray my vet was right or not? Could my daughter caused the tumor?

This question includes photos that may contain sensitive content. Click to view.

View more to consider that the photos may include sensitive content.

1 Answer

Most Helpful Answer

Image profile

Answered By Dr. Strydom, DVM

Veterinarian

Published on June 6th, 2019

Your vet did the right thing. I'm so sorry Pich passed away but I do not believe your daughter had anything to do with it. She did not cause the dog to have a tumor. You also need to not place blame on the veterinarian. They did the best they could to help. Unfortunately, not everything turns out the way we hoped despite the best treatment. The dog had a history of seizures which were probably caused by the underlying tumor. There is no way for anyone to have known that. I know it is heartbreaking but you all need to stop blaming yourselves. It is a living animal and, just like a person, things happen out of our control. I really thing you and your family should speak to a grief counselor. Since you are not in the U.S. there is no one I can recommend other than this website: ( lapoflove.com/community/Pet-Loss-Support )

Vote icon

1Pet Parents found this answer helpful

image
Have A Vet Question?

Book an appointment with the pros – our expert vets are here to help.

Sponsored