Petco Text Logo
Petco Pet Logo

My dog is paralyzed after a neck hit. Did my daughter cause it?

Updated On September 23rd, 2025

Pet's info: Dog | Poodle | Male | unneutered | 7 years and 6 months old | 22 lbs

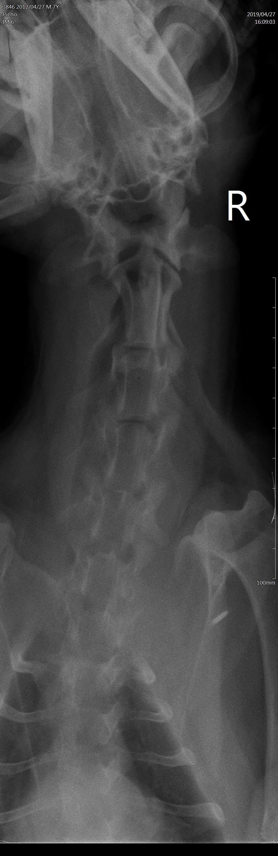
Dears, My dog had a seizure 1 month ago, 2 days ago he was vomiting. Then he was playing with my daughter and she accidentally hit him somewhere in the neck as she says, in the morning we found him paralysed with all legs he can't walk. We had an X-ray, attached see pics, our vet says he has a fluid between neck and spine that causes brain compression and he needs surgery. Please advise, my daughter is nervous she thinks that it is because of her, could this be the reason?

This question includes photos that may contain sensitive content. Click to view.

View more to consider that the photos may include sensitive content.

3 Answers

Most Helpful Answer

Image profile

Answered By Dr. Strydom, DVM

Veterinarian

Published on May 17th, 2019

I hardly think your daughter could have hit Pich hard enough to cause this. It is more likely that this condition was underlying already especially with the history of a seizure. The x-rays are difficult to assess on this forum - when we try to enlarge them they get very grainy so I cannot comment on that part. Hope this helps. Best wishes.

Vote icon

1Pet Parents found this answer helpful

Other Answers

  • Image profile

    Answered By Dr. Strydom, DVM

    Veterinarian

    Published on June 4th, 2019

    I remember this question from before. There is no way your daughter hit this dog hard enough to cause paralysis unless she ran him over in a car or hit him with a baseball bat. Regardless, of whether she did or didn't cause it Pich needs surgery. I see the fluid your vet has noted. Your only options are to do the surgery or humane euthanasia - you cannot let him suffer like this. This has already been going on for weeks. Please do the surgery or relieve his suffering. I'm sorry you are going through this but you need to do what is best for Pich.

    Vote icon

    1Pet Parents found this answer helpful

  • Image profile

    Answered By Dr. Strydom, DVM

    Veterinarian

    Published on June 13th, 2019

    Please, how many times are you going to ask this question? Why will you not accept that your daughter did not cause this unless she hit him with a baseball bat. Did she do that?? The vet was correct with the diagnosis. Please get some grief counseling as it sounds like you are not coping well with this situation. I am very sorry for the loss of your dog but you are trying to place blame where there is none. Your dog had an underlying condition that no one could have known about.

    Vote icon

    1Pet Parents found this answer helpful

See More Answers
image
Have A Vet Question?

Book an appointment with the pros – our expert vets are here to help.

Sponsored