Petco Text Logo
Petco Pet Logo

My dog has pain, shaking, yellow poop. Vet unsure: gut or spine?

Updated On September 23rd, 2025

Pet's info: Dog | Mixed Breed Small (up to 22lb) | Female | spayed | 2 years and 9 months old | 21.16 lbs

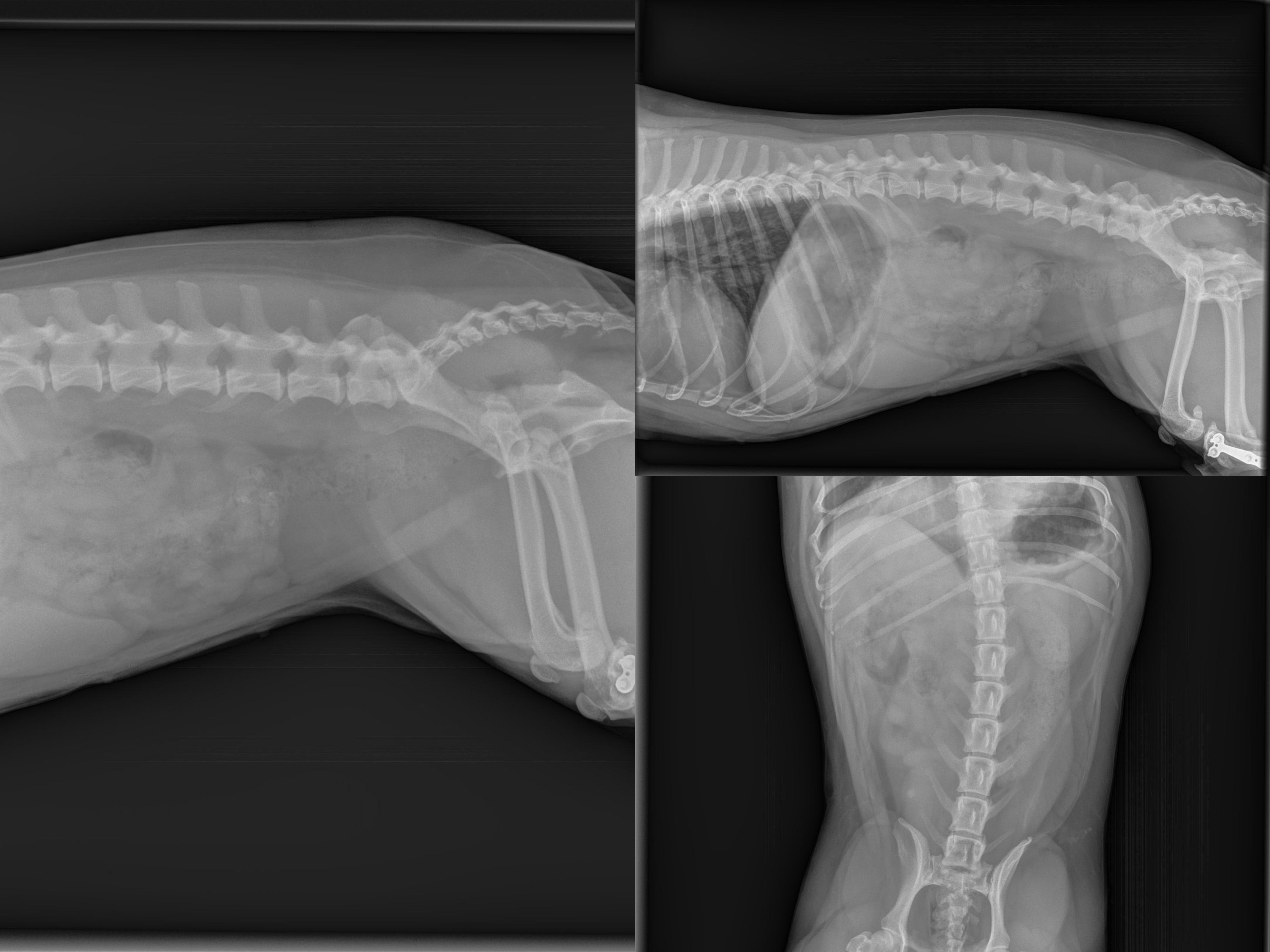
Beatrice display hypomotility, pain, temporary shaking after walking, lip licking and yellow feces. Doctors are unsure if it is enteritis, pancreatitis, or disk herniation. Thank you in advance for your help, Luca

This question includes photos that may contain sensitive content. Click to view.

View more to consider that the photos may include sensitive content.

1 Answer

Most Helpful Answer

Image profile

Answered By C. Rathjens, DVM

Veterinarian

Published on April 1st, 2018

Those are all possible causes. In cases like this, we usually need to treat symptomatically. The normal treatments for pancreatitis would also treat enteritis. Beatrice would need an MRI to determine if she has a herniated disk, but she could be treated with pain medication (which she also needs for possible pancreatitis) in the mean time. I can't tell you which issue is the cause (or they are all a factor) from these images, but I share your vet's concern about all of them.

Vote icon

1Pet Parents found this answer helpful

image
Have A Vet Question?

Book an appointment with the pros – our expert vets are here to help.

Sponsored