Petco Text Logo
Petco Pet Logo

My dog shakes, has stiff abdomen, and pain when walking. What is it?

Updated On September 23rd, 2025

Pet's info: Dog | Mixed Breed Small (up to 22lb) | Female | spayed | 2 years and 9 months old | 21.16 lbs

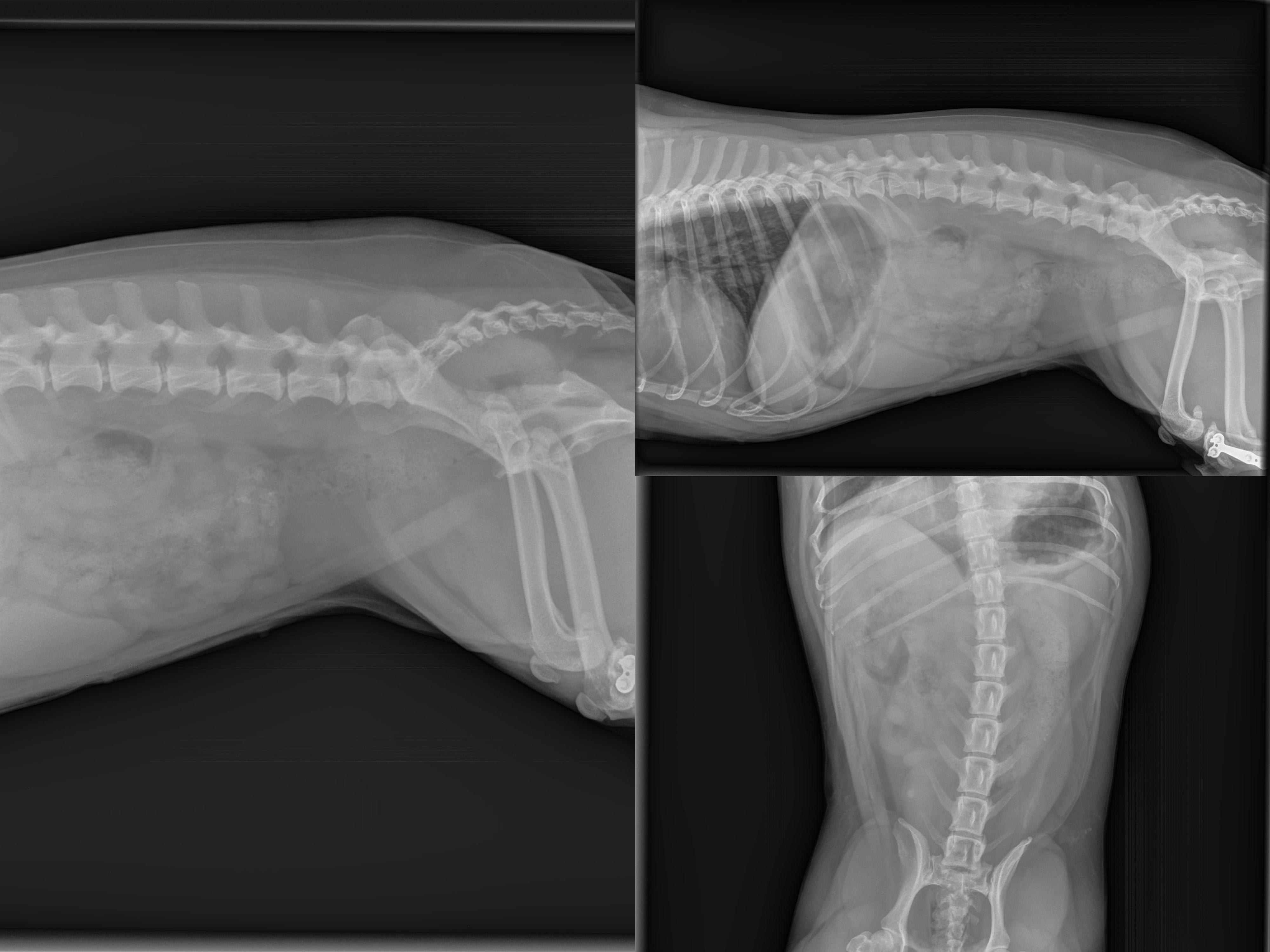
Is this gastroenteritis, pancreatitis, or disk herniation? Beatrice shakes, has stiff admomen and constipation although a good appetite. She feels pain when standing and walking. Doctors have those three hypotheses. Thank you in advance for your help!

This question includes photos that may contain sensitive content. Click to view.

View more to consider that the photos may include sensitive content.

1 Answer

Most Helpful Answer

Image profile

Answered By Sara Farmer, DVM

Veterinarian

Published on March 30th, 2018

If I had to guess based on your description I would say disc herniation. In my experience dogs that have primary gastrointestinal disease or pancreatitis causing abdominal pain do not have a normal appetite. A veterinarian who is able to physically examine Beatrice in person and has access to all diagnostic results would be able to make the best assessment.

Vote icon

1Pet Parents found this answer helpful

image
Have A Vet Question?

Book an appointment with the pros – our expert vets are here to help.

Sponsored