Petco Text Logo
Petco Pet Logo

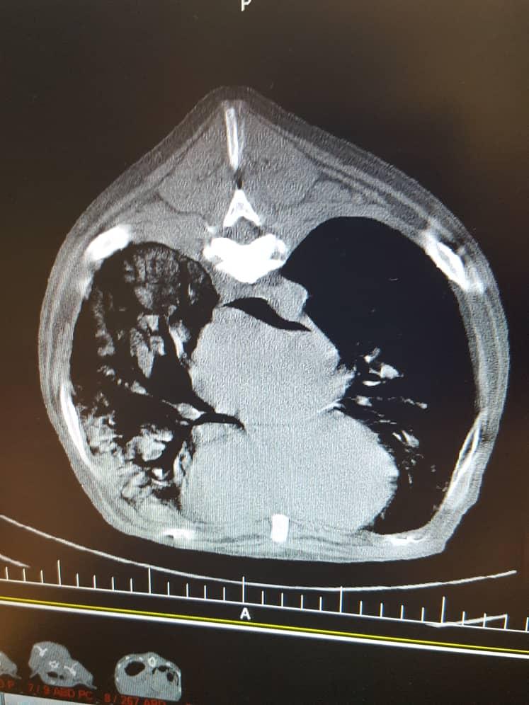
My old dog has a lung tumor and trouble swallowing. Second opinion?

Updated On September 23rd, 2025

Pet's info: Dog | Labrador Retriever | Male | unneutered | 11 years old | 100 lbs

I have a 10 yo AKC registered labrador who currently lives in overseas. He has developed severe dysphagia, barrium swallow showed obstruction and CT scan showed large lung tumor. His Vet in overseas says nothing can be done for him. But I want a second opinion from a vet in US please look at the CT and let me know. I only can send 3 images here. But I have more. Thanks

This question includes photos that may contain sensitive content. Click to view.

View more to consider that the photos may include sensitive content.

1 Answer

Most Helpful Answer

Image profile

Answered By Andrea M. Brodie, DVM

Veterinarian

Published on January 17th, 2019

The problem is that you can possibly try to remove the tumors with surgery. However, your dog is an old dog and the anesthetic risk in a dog with a large lung tumor at this age is great and it is likely that your dog will die during anesthesia. The obstruction can probably be removed, but again the anesthetic risk is great. Recuperation will also be extensive and there is a big chance that your dog's tumors will reoccur before he has even returned to wellbeing from the surgery, should he have survived it. I agree with the veterinarian who diagnosed him (considering what you have reported). You can get a second opinion from an oncologist overseas. They are no worse than the ones here in the US. I am sorry your dog is so ill.

Vote icon

1Pet Parents found this answer helpful

image
Have A Vet Question?

Book an appointment with the pros – our expert vets are here to help.

Sponsored