Petco Text Logo
Petco Pet Logo

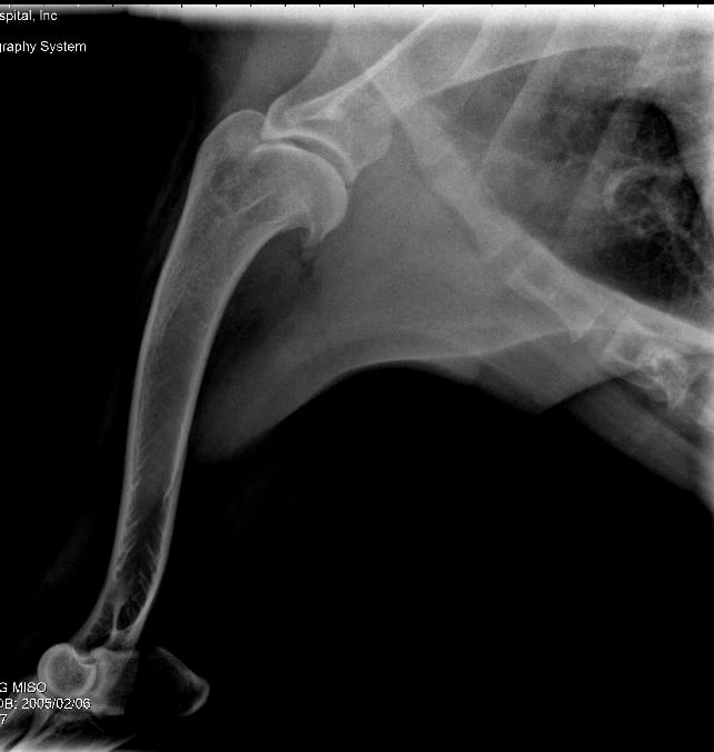
My 13-year-old Golden has a limp. Is shoulder x-ray lucency cancer?

Updated On September 23rd, 2025

Pet's info: Dog | Golden Retriever | Female | spayed | 68 lbs

My 13 year old Golden Retriever was seen by a vet today for a limp. Shoulder x-rays were done. There is concern about a possible osteosarcoma of the left shoulder based on an x-ray. The vet consulted with another vet and together they are not completely certain but feel that there could be a lucency in the x-ray c/w a possible tumor.

This question includes photos that may contain sensitive content. Click to view.

View more to consider that the photos may include sensitive content.

1 Answer

Most Helpful Answer

Image profile

Answered By Sarah Derksen, DVM

Veterinarian

Published on March 26th, 2018

Hi. There is an abnormality in the cores of the bone near shoulder. Cancer is a possibility, along with bone infections (bacterial or fungal), or inflammatory diseases. Unfortunately with her being older, cancer is higher on the list then younger pets. Based on this xray, we can't say for sure. I would recommend sending these x-rays to a radiology specialist, which your veterinarian can do. A bone biopsy can be done as well to determine if the changes are consistent w cancer. Good luck.

Vote icon

1Pet Parents found this answer helpful

image
Have A Vet Question?

Book an appointment with the pros – our expert vets are here to help.

Sponsored