Petco Text Logo
Petco Pet Logo

My dog is limping with elbow pain. Could this be elbow dysplasia?

Updated On September 23rd, 2025

Pet's info: Dog | Chow Chow | Male | 4 years and 7 months old | 70.5 lbs

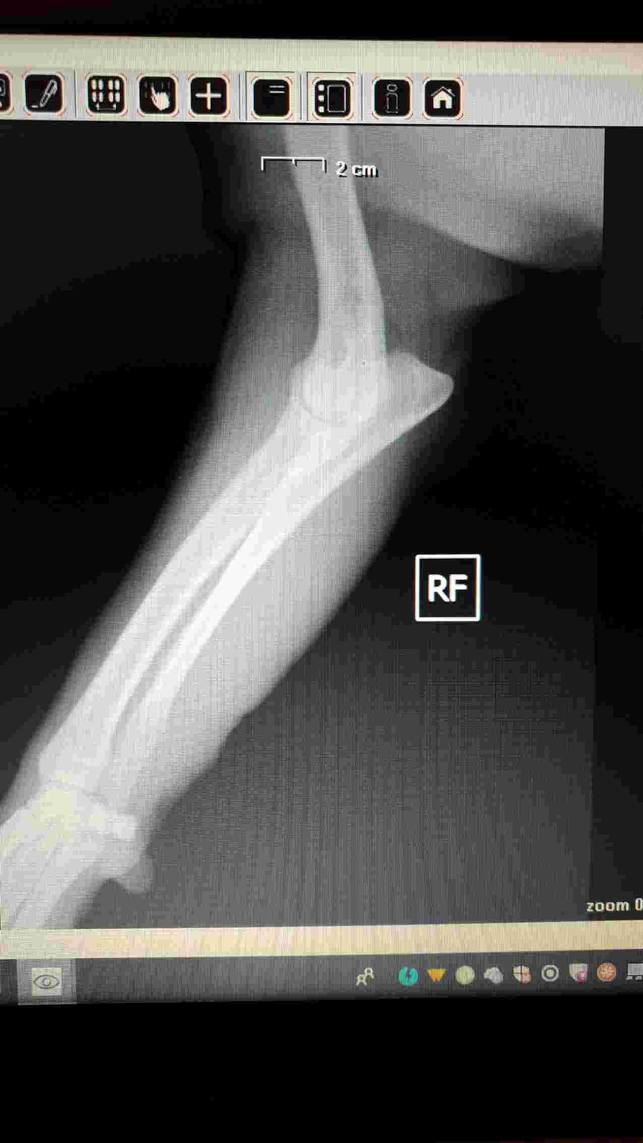
My chow chow is limping and feels some pain in right front elbow. The vet says that could be an elbow dysplasia. Any observation from you? Thank you !! P.s. He's 4 y and 7 mo old.

This question includes photos that may contain sensitive content. Click to view.

View more to consider that the photos may include sensitive content.

1 Answer

Most Helpful Answer

Image profile

Answered By Destini R. Holloway, DVM

Veterinarian

Published on December 13th, 2018

I do see some abnormal opacity in the elbow joint where the arrow is, so I would have to agree with your vet here. It is not possible to zoom in on x-rays that are copied here however, so its best to get a copy of the x-rays on a CD and then having them reviewed by a 2nd opinion doctor that way. Or you can ask your vet to send these to a radiologist who is well trained on picking up on small details that the untrained eye can miss. Another option is to treat medically for a minimum of 2 weeks, and if there is no improvement, then you know that is not just a muscle sprain or mild injury, and that elbow dysplasia is more likely the underlying cause. Doing a process of elimination, while still treating the pets pain, is a common thing that owners do when they are looking for a more conservative approach. If this is indeed elbow dysplasia, then I would recommend a referral to an orthopedic specialist if you want to pursue treatment. Treatment for this condition is often surgery. Poor guy. I hope that you can get him some relief soon. Best wishes and take care!

Vote icon

1Pet Parents found this answer helpful

image
Have A Vet Question?

Book an appointment with the pros – our expert vets are here to help.

Sponsored