Petco Text Logo
Petco Pet Logo

My senior dog is limping. Could moth-eaten bone mean cancer?

Updated On September 23rd, 2025

Pet's info: Dog | Labrador Retriever | Male | neutered | 10 years and 10 months old | 60 lbs

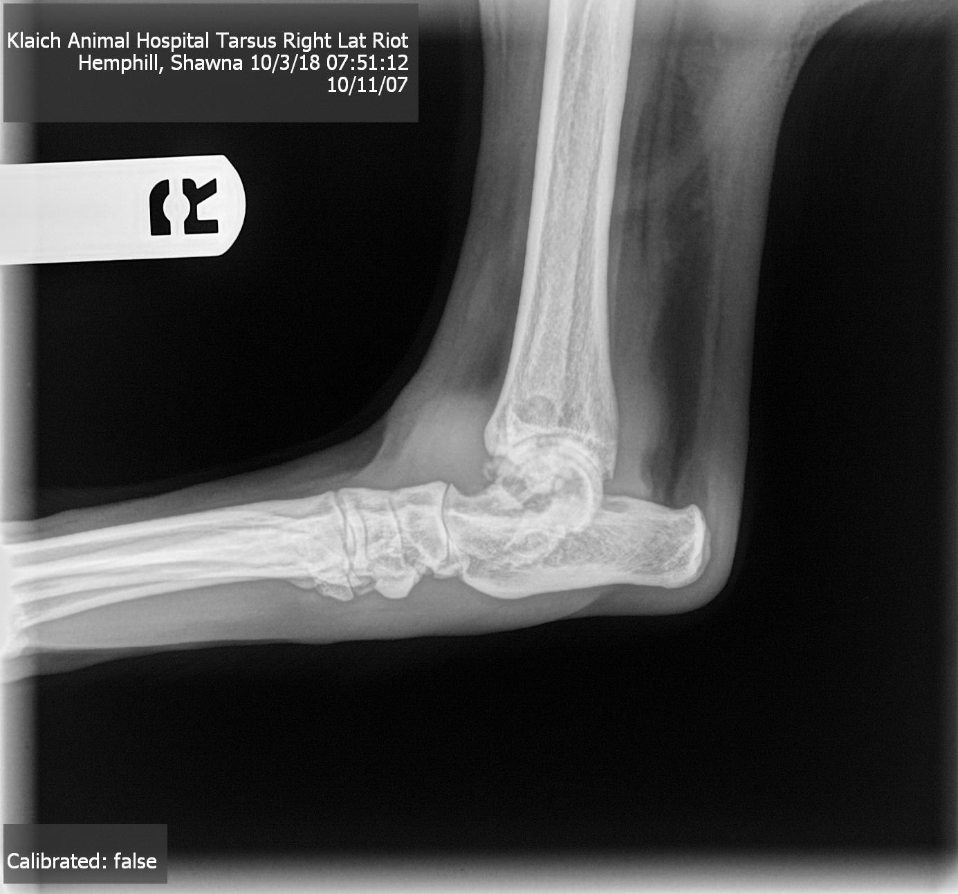
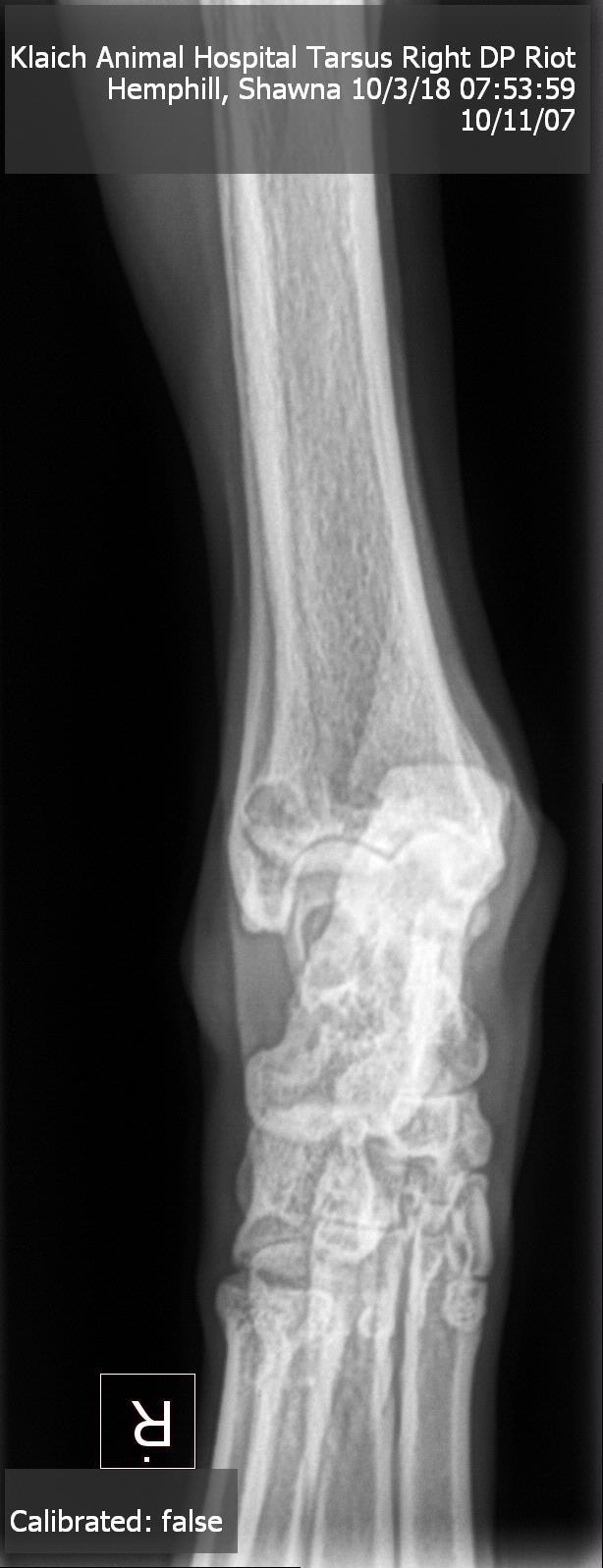
I have an 11 year old black lab. He recently went to a vet for xrays due to limping and weight loss. The vet said he has "moth eaten" bone on his leg so he suggested osteosarcoma. We did an xray of his lungs as well as blood work which both came back clear. What is wrong with my dogs leg?? He still limps badly.

This question includes photos that may contain sensitive content. Click to view.

View more to consider that the photos may include sensitive content.

1 Answer

Most Helpful Answer

Image profile

Answered By Dr. Davis

Veterinarian

Published on October 12th, 2018

Osteosarcoma can’t be totally diagnosed by an X-ray, and this doesn’t look definitive to me. I recommend taking him to an orthopedic specialist for a second opinion, and they can take another X-ray to compare with this. If it’s bone cancer the moth eaten area will probably be larger or more defined. They can also do a bone biopsy to confirm the diagnosis. He could be lame from a shoulder problem, or even pain radiating down his leg from a disc in his neck. Hopefully he is on pain medication. In my opinion the next step to be sure of the diagnosis would be to get an exam with a specialist. Thanks for using Petco Pet Education Center, formerly Petcoach to help you care for Riot.

Vote icon

2Pet Parents found this answer helpful

image
Have A Vet Question?

Book an appointment with the pros – our expert vets are here to help.

Sponsored