Petco Text Logo
Petco Pet Logo

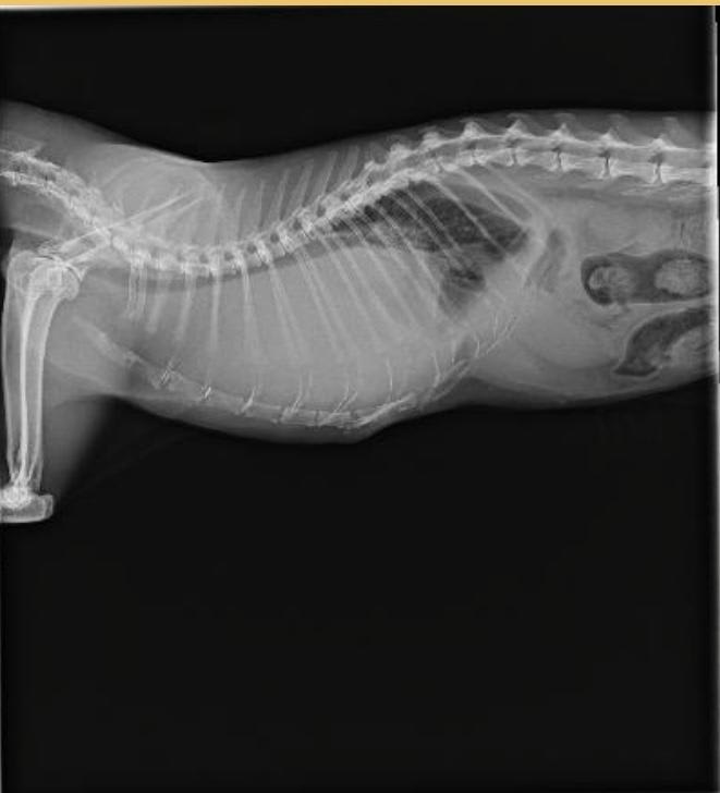
Why did my senior cat have seizures, breathing issues, and a mass?

Updated On September 23rd, 2025

We just put our almost 14 year Siamese girl to sleep last week. Seizures started around age 12. Vet suspected brain tumor due to her age & not epilepsy. For the past eight month there was a slight cough, muscle loss, hind end weakness, and sometimes a little wheezing sound also put on kidney diet. Brought into vet because she began to take on a strange odor and was starting to gasp for air. Here is xray. We assumed fluid, but chest tap got only little blood out of various spots. Thoughts?

This question includes photos that may contain sensitive content. Click to view.

View more to consider that the photos may include sensitive content.

1 Answer

Most Helpful Answer

Image profile

Answered By Laura Johnson VMD

Veterinarian

Published on September 8th, 2018

Hi, thanks for using Petco Pet Education Center, formerly Petcoach! I am so sorry for your loss! I do see pleural effusion (fluid) on the X-ray but I would also suspect a mass, which is likely the cause of the fluid. That could be why your Vet couldn't get any. Most of the white on the X-ray is likely the mass and only a small amount of fluid. I wish you the best!

Vote icon

1Pet Parents found this answer helpful

image
Have A Vet Question?

Book an appointment with the pros – our expert vets are here to help.

Sponsored