Petco Text Logo
Petco Pet Logo

My puppy's leg surgery pins stick out. Is this normal or safe?

Updated On September 23rd, 2025

Pet's info: Dog | Mixed Breed Medium (23 - 60lb) | Male | neutered | 7 months and 21 days old | 39 lbs

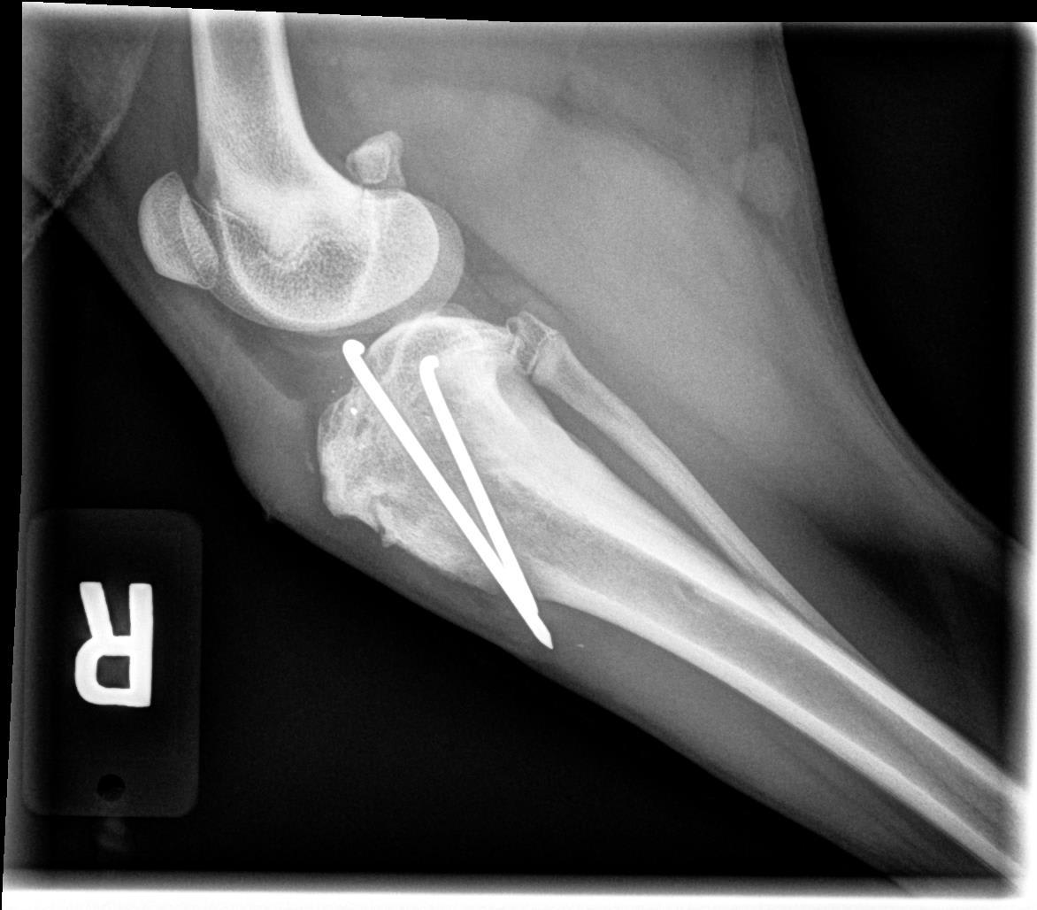
My puppy had surgery on his leg 7 weeks ago after a tibial fracture. They sent me the xrays of the healed bone and it looks like the pins are sticking all the way through the bone and coming out on the other side. The doctor said he is fine and the pins can remain in place for the rest of his life. They look sharp and I can feel a bump where they are through his skin. It looks very strange. Is this normal? The image with three pins is from 2 weeks ago before one of the pins had to be removed.

This question includes photos that may contain sensitive content. Click to view.

View more to consider that the photos may include sensitive content.

1 Answer

Most Helpful Answer

Image profile

Answered By Catherine Stecyk

Veterinarian

Published on June 28th, 2018

Hello and thank you for reaching out to Petco Pet Education Center, formerly Petcoach! It is normal for pins to be placed so that they stick out the other cortex (side) of the bone, as this ensures they have a good hold on the fracture fragments to prevent any movement of the fragments. As long as Toby does not develop an infection in his bone around any of the pins, and he is not exhibiting any discomfort from them, he will likely be able to have the pins in for the rest of his life. If you notice that the pins seem to be protruding more than usual, or if Toby is lame/painful on the affected leg, it is possible the pin(s) could have migrated inappropriately and/or could have become infected. This would require a visit to your veterinarian for an exam and repeat x-rays, and potentially surgery to remove the pins. I hope this helps :)

Vote icon

1Pet Parents found this answer helpful

image
Have A Vet Question?

Book an appointment with the pros – our expert vets are here to help.

Sponsored