Petco Text Logo
Petco Pet Logo

My dog has a limp. Should I amputate her leg after failed surgery?

Updated On September 23rd, 2025

Pet's info: Dog | Mixed Breed Medium (23 - 60lb) | Female | spayed | 11 months and 22 days old | 38 lbs

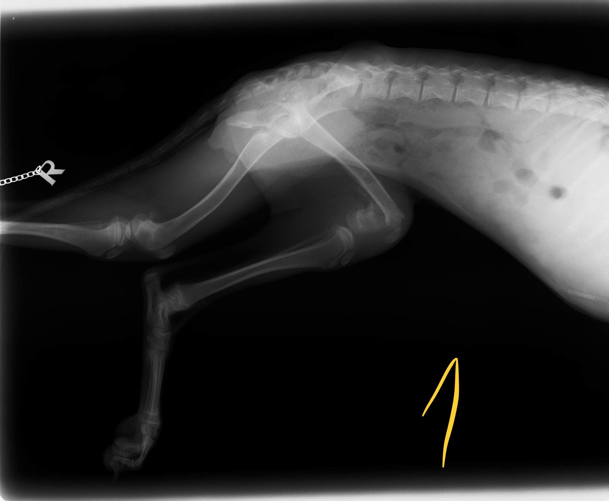
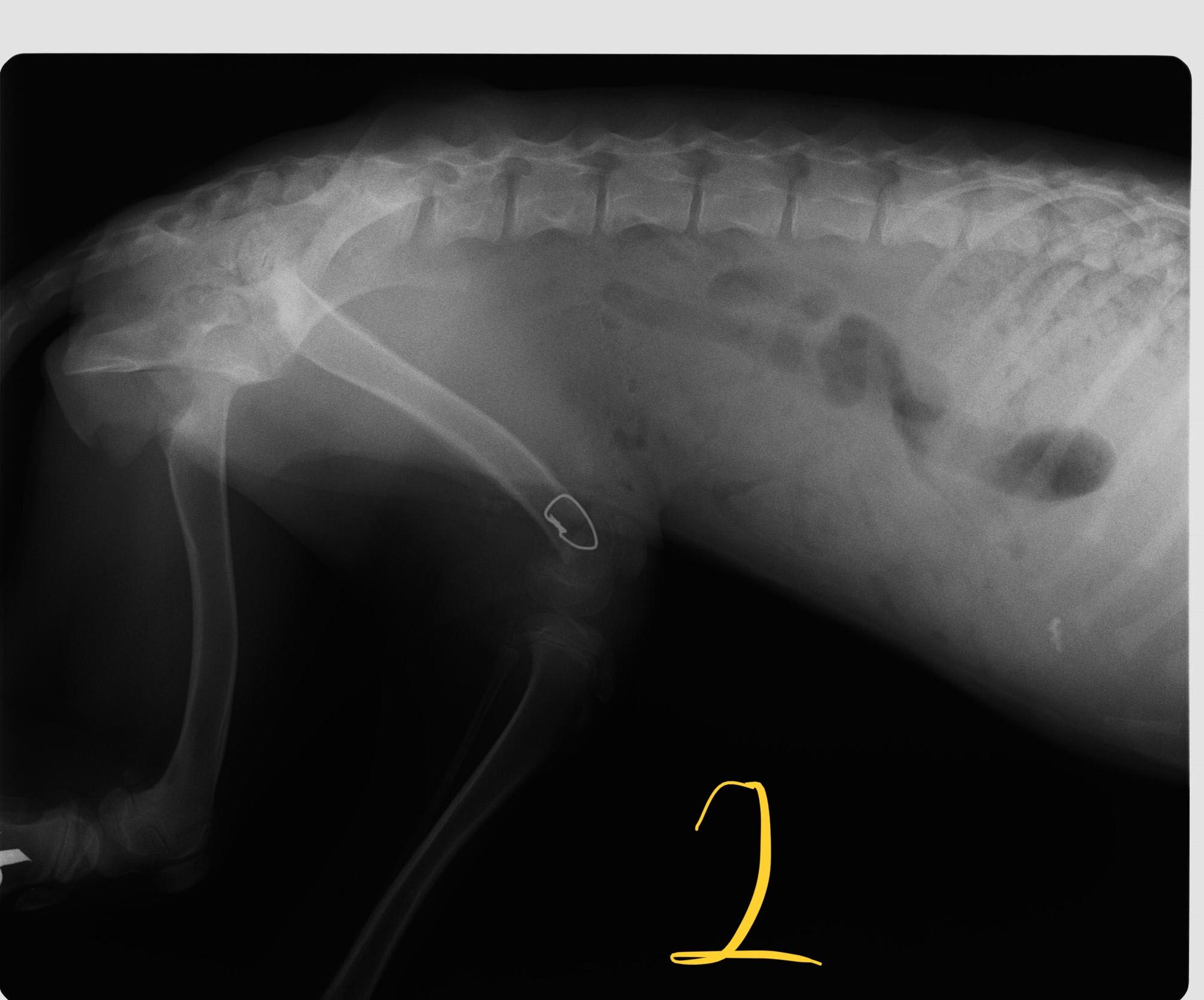
HEALTHSHARE My vet said Ella needs her back left leg amputated since the 1st operation she had was not successful. She can walk and run with a slight limp. She had the operation when she was a puppy 4/5 mi this old. Now she is 11 months old. Photo 1 pre op. Photo 2 after op. What do you think. Kind regards Pet's info: Dog | Mixed Breed Medium (23 - 60lb) | Female | spayed | 11 months and 22 days old | 38 lbs Location: United Kingdom

This question includes photos that may contain sensitive content. Click to view.

View more to consider that the photos may include sensitive content.

1 Answer

Most Helpful Answer

Image profile

Answered By Dr. Heidi DVM, CVA, CCRT, CVTP, CVSMT, CVCH

Veterinarian, Certified Veterinary Acupuncturist, Certified Canine Rehabilitation Practitioner

Published on June 6th, 2018

Thank you for reposting your question with pictures. The second x-ray is a little dark and is difficult to read, but I can certainly see that the area is not normal and why your vet would recommend amputation since the area will not get any better. However, if Ella only has a slightly limp, then I'm not sure why the amputation needs to happen now. Some dogs do very well with an abnormal leg for many years. If at some point it starts causing her more problems, it can always be amputated at that time. And certainly only having 3 legs puts more strain on the other legs, so we try to wait to amputate unless the leg is currently painful or causing problems. Good luck! I hope that was helpful and answered your question. Thanks for using Petco Pet Education Center, formerly Petcoach.

Vote icon

1Pet Parents found this answer helpful

image
Have A Vet Question?

Book an appointment with the pros – our expert vets are here to help.

Sponsored