Petco Text Logo
Petco Pet Logo

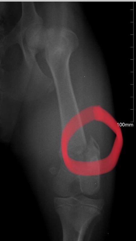
My puppy has a fracture. Can it heal on its own without surgery?

Updated On September 23rd, 2025

Pet's info: Dog | Mixed Breed | Male | unneutered | 5 months and 20 days old | 31 lbs

My puppy was hurt at a boarding place. The vet we took him to said he needed surgery, the owner wanted a second opinion and the other vet said it would heal on it's own with proper rest. Can the fractures heal on it's own?

This question includes photos that may contain sensitive content. Click to view.

View more to consider that the photos may include sensitive content.

1 Answer

Most Helpful Answer

Image profile

Answered By Kevin Sanada, DVM

Veterinarian

Published on February 7th, 2018

They can definitely heal on their own and they heal especially well with puppies. However, it may heal at an angle, which can cause a life-long limp and issues with arthritis. This particular fracture involves the growth plate, which can increase the possibility that it won't heal correctly. The advantage of surgery is that the fracture can be aligned appropriately, which will shorten healing time and reduce chances of future complications. This would not be an easy surgery though and would likely require an orthopedic specialist to do it; which can get quite expensive. If you want to pursue surgery, then it's best to ask your veterinarian for a referral to an orthopedic specialist. Otherwise it's possible for it to heal fine with casting/splinting and time. I hope that helps and Ice gets better soon.

Vote icon

1Pet Parents found this answer helpful

image
Have A Vet Question?

Book an appointment with the pros – our expert vets are here to help.

Sponsored