Petco Text Logo
Petco Pet Logo

My Golden Retriever has a lung tumor. What does this mean for her?

Updated On September 23rd, 2025

Pet's info: Dog | Golden Retriever | Female | unspayed | 50 lbs

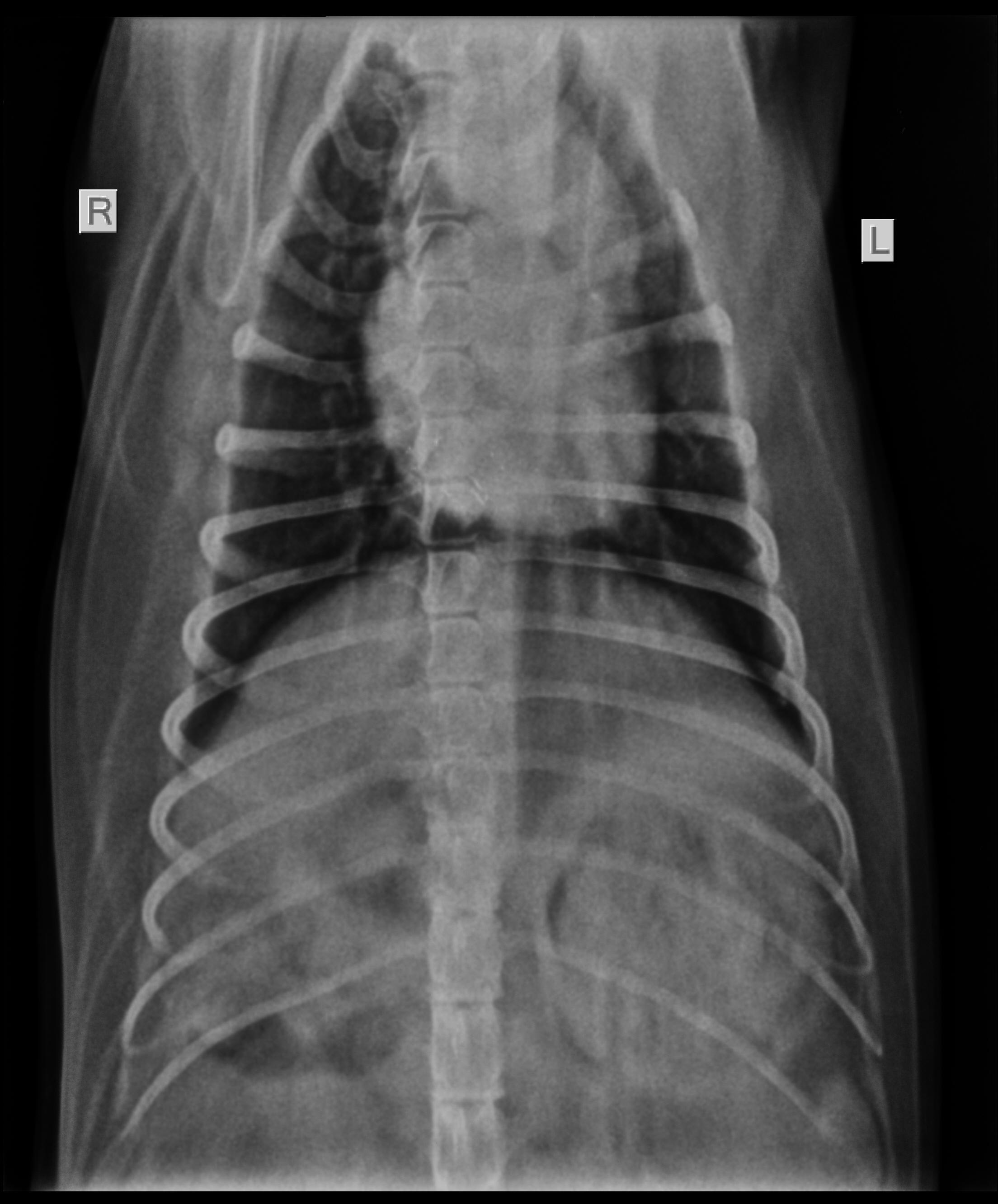
I have a six year old golden retriever. She has lately been diagnosed with lung tumour- a mass on her lower right chest cavity. Her earlier symptoms included difficulty in breathing, snoring at night and lately she found it difficult to bend and eat as her tumour was choking her. She does not have any weight loss nor is she lethargic. Can you please suggest what this tumour impplies as I am very worried.

This question includes photos that may contain sensitive content. Click to view.

View more to consider that the photos may include sensitive content.

1 Answer

Most Helpful Answer

Image profile

Answered By Ricardo Fernandez, DVM

Veterinarian, Veterinary Oncology Resident

Published on January 23rd, 2018

Thanks for using Petco Pet Education Center, formerly Petcoach! Lung tumors are uncommon in the dog. The most common tumors are adenocarcinoma and histiocytic sarcoma though other tumor types are possible. This can be determined in most cases by performing a FNA (fine needle aspirate) of the mass. The treatment for it will depend on the exact type and also the extent of disease. If this is solitary and has not spread then surgery would be the treatment of choice which may be followed by chemotherapy. The prognosis will depend on many factors like the type of tumor, size, spread of the tumor and treatment selection though cures are rare for any of these tumors. Good luck and best wishes for Cassie!

Vote icon

1Pet Parents found this answer helpful

image
Have A Vet Question?

Book an appointment with the pros – our expert vets are here to help.

Sponsored