Petco Text Logo
Petco Pet Logo

My dog has an enlarged spleen. What are the symptoms and treatments?

Updated On September 23rd, 2025

Pet's info: Dog | Shih Tzu | Male | unneutered | 11 years and 7 months old | 15.5 lbs

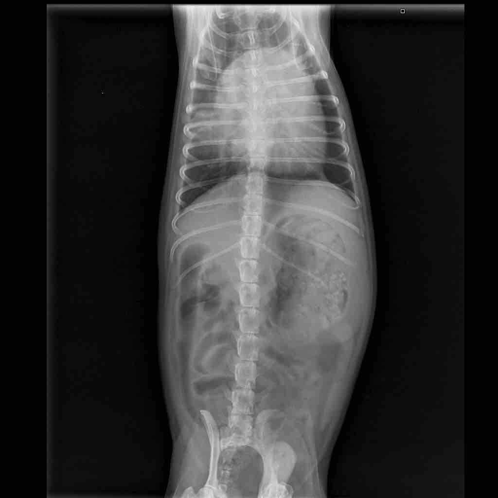
My dog is suffering from enlarged spleen. His lower stomach is a bit enlarged and he sneezes every once in a while. Also his breathing is a bit heavy and in some cases I can hear him trying to breath deeply two or three times in a row. Is there some medication to help him with the spleen issue? I cannot relay on vets in my current location as animal care is not that common to them

This question includes photos that may contain sensitive content. Click to view.

View more to consider that the photos may include sensitive content.

1 Answer

Most Helpful Answer

Image profile

Answered By Lindsey Edwards MVB, BSc, IVCA

Veterinarian

Published on October 20th, 2017

Enlarged spleens can occur for many reasons including immune mediated disease, infections and tumours and the treatment for each is quite different. Blood tests to rule out infections and removal and biopsy of the spleen are often used to investigate. There is no single treatment which would be expected to be curative but a well balanced diet is recommended

Vote icon

1Pet Parents found this answer helpful

image
Have A Vet Question?

Book an appointment with the pros – our expert vets are here to help.

Sponsored