Petco Text Logo
Petco Pet Logo

Dog spinal fracture: Is recovery possible or euthanasia best?

Updated On September 23rd, 2025

Pet's info: Dog | Labrador Retriever | Male | unneutered | 3 years and 10 months old | 75 lbs

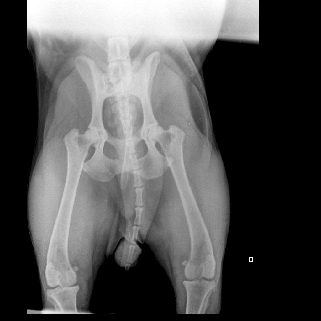
Hi, My 4 year old black lab had a bike accident. The mylogram shows overriding fracture at T13-L1 of his spine. Even though his very has suggested euthanasia, I want to give him a chance. Could you please tell me if keeping him alive would lead to medical complications or would have serious effects on his health? I am willing to put in all the hardworkd required to keep him happy, unless euthanasia is the only way.

This question includes photos that may contain sensitive content. Click to view.

View more to consider that the photos may include sensitive content.

1 Answer

Most Helpful Answer

Image profile

Answered By Vanessa Yeager DVM MPH

Veterinarian

Published on September 15th, 2017

Hi and thank you for your post. While surgery may be possible, this should be done at a specialty or veterinary teaching hospital at a University for sure. It is highly likely Jordan will have multiple neurological deficits after surgery and make never be able to use his legs normally. He may have problems defecating and urinating. The road for recovery will be long and arduous for both you and Jordan. He will need lots of physical rehabilitative therapy and constant round the clock care for quite some time. How long will depend on his response to treatment, therapy and medication. Best to you and Jordan! Thank you for using Petco Pet Education Center, formerly Petcoach!

Vote icon

1Pet Parents found this answer helpful

image
Have A Vet Question?

Book an appointment with the pros – our expert vets are here to help.

Sponsored