Petco Text Logo
Petco Pet Logo

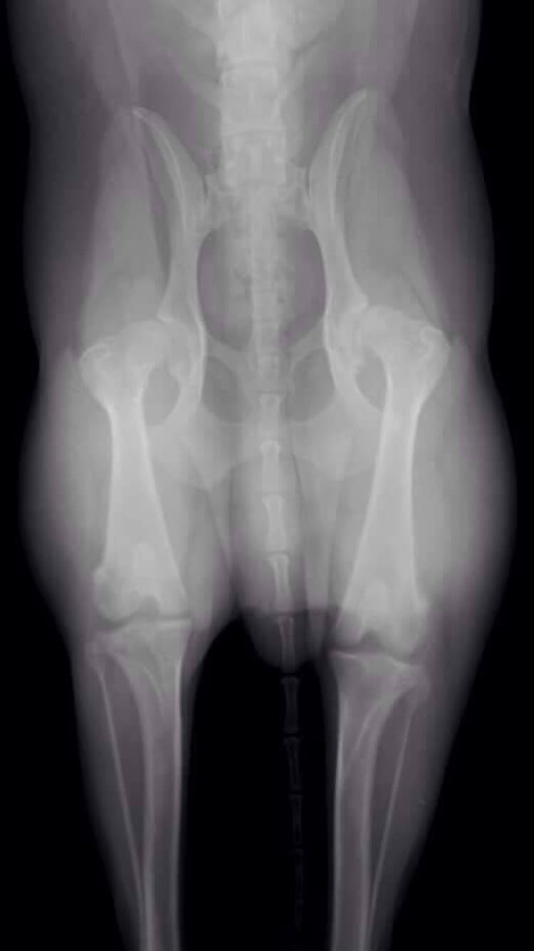
My dog limps after naps. Is his hip dysplasia severe or mild?

Updated On September 23rd, 2025

Pet's info: Dog | Japanese Spitz | Male | neutered | 5 years and 10 months old | 45 lbs

From the picture attached, can you tell if what grade or how severe the hip dysplasia is? My dog is not showing any pain other than limping after a nap. He just started on Glucosamine & Chondroitin. Thanks in advance

This question includes photos that may contain sensitive content. Click to view.

View more to consider that the photos may include sensitive content.

1 Answer

Most Helpful Answer

Image profile

Answered By Dr. Heidi DVM, CVA, CCRT, CVTP, CVSMT, CVCH

Veterinarian, Certified Veterinary Acupuncturist, Certified Canine Rehabilitation Practitioner

Published on September 8th, 2017

Legally, I am not allowed to give you a diagnosis, but based on the x-rays you posted, I suspect that your vet told you that Sly has significant hip dysplasia and arthritis in both hips. I'm sure that came as a surprise to you since Sly is only showing some limping after resting. Dogs are very stoic and do not show us pain as we would expect. Since you have just started Sly on a glucosamine and chondoitin sulfate supplement, you certainly could wait and see how he does on that, but I suspect you will need to add some additional supplements or medications to resolve his limping, so don't be afraid to talk to your vet about those. We frequently use fish oil, MSM, non-steroidal anti-inflammatory drugs, and many other drug combinations for arthritis. I also highly recommend physical rehabilitation and acupuncture. Although we expect our dogs to cry in pain, most dogs with arthritis pain act exactly like Sly and only limp after getting up. Our goal with treatment is to get them to the point that their pain is so well controlled that we don't notice them limp at all. I hope that helps! Thanks for using Petco Pet Education Center, formerly Petcoach.

Vote icon

2Pet Parents found this answer helpful

image
Have A Vet Question?

Book an appointment with the pros – our expert vets are here to help.

Sponsored