Petco Text Logo
Petco Pet Logo

My Rottweiler has suspected bone cancer. Why can't they test now?

Updated On September 23rd, 2025

Pet's info: Dog | Rottweiler | Male | neutered | 4 years and 5 months old | 110 lbs

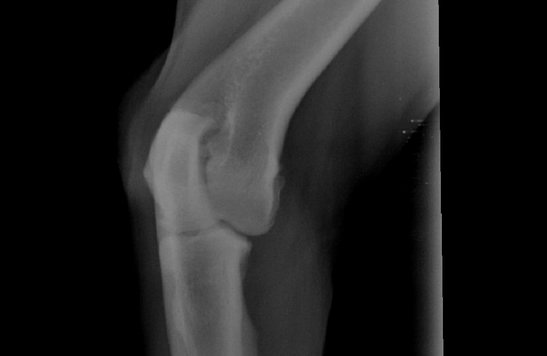
Hi Again, I asked a question recently regarding my rottie - We had a 2nd opinion at a specialist. they also cannot tell us what is wrong. They took xrays again and said it is inflamed. so they put him again on anti inflams - they said he has to go back in a month because they suspect bone cancer - I don't understand why they cannot test for it. they suspect bone cancer in his shoulder. its either that or his cartlidge is damaged. I don't want to wait 4 weeks and do nothing. please help.

This question includes photos that may contain sensitive content. Click to view.

View more to consider that the photos may include sensitive content.

1 Answer

Most Helpful Answer

Image profile

Answered By Daniel Fonza, DVM

Veterinarian

Published on August 18th, 2017

The bone lesion is small on the xray. Diagnosing bone cancer can sometimes be difficult on the smaller lesions. A bone biopsy is something they might consider. Your specialist is likely waiting to see if the changes become more pronounced in order to obtain a better sample. A CT scan should be considered as well. This breed is predisposed to certain cancers and we see bone cancer commonly in this breed. Please let me know if you have any other questions or concerns.

Vote icon

1Pet Parents found this answer helpful

image
Have A Vet Question?

Book an appointment with the pros – our expert vets are here to help.

Sponsored