Petco Text Logo
Petco Pet Logo

My Rottweiler has severe leg pain from arthritis. What's next?

Updated On September 23rd, 2025

Pet's info: Dog | Rottweiler | Male | neutered | 4 years and 4 months old | 110 lbs

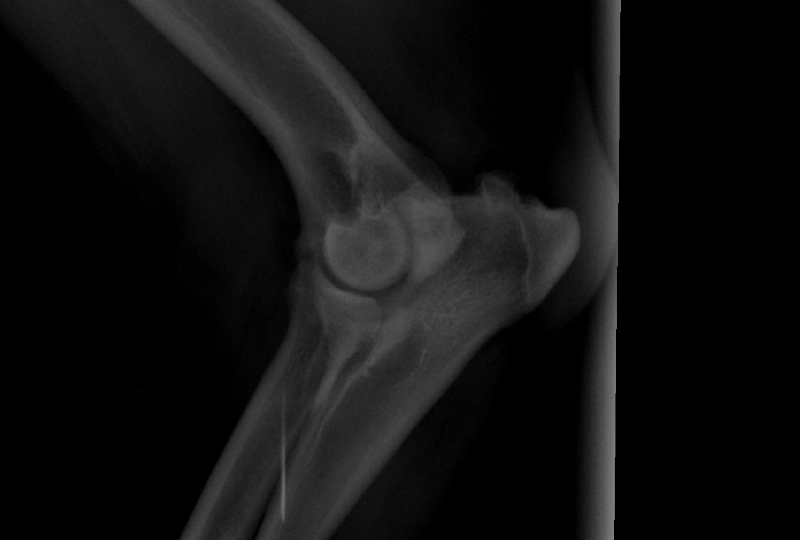
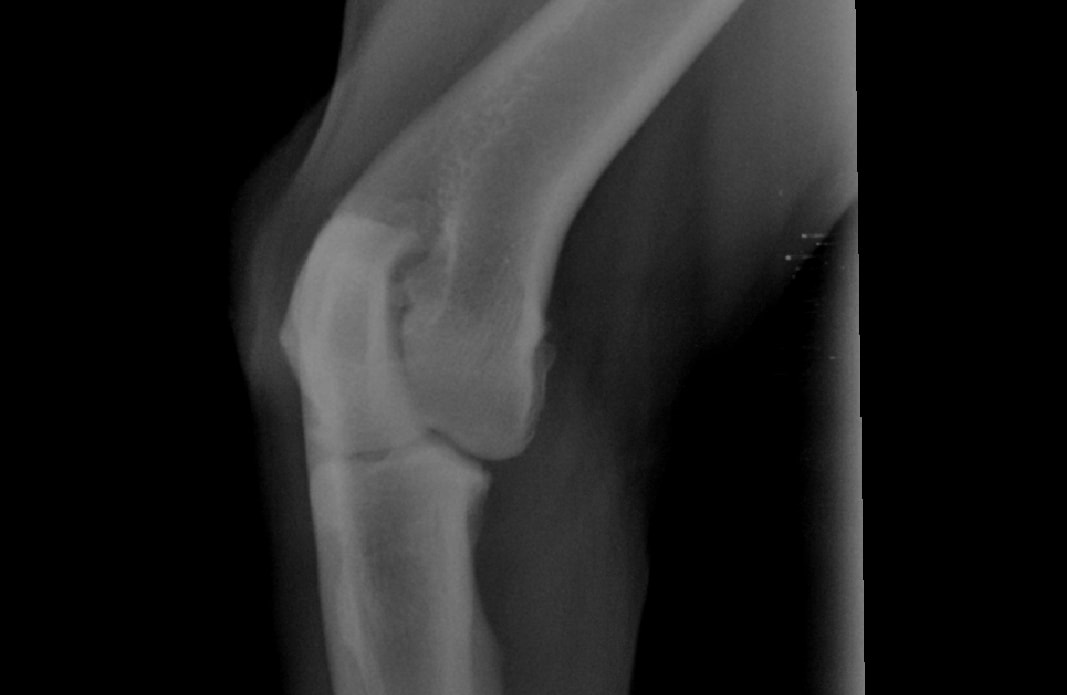
Hi, My Rottweiler is 4 years old. 10 days ago he starting experiencing excruciating pain in is right front leg. we took him to the vet where they took XRays and said he has some inflammation and looks like arthritis. They didn't do much and put him on anti inflams. its been 10 days and made no difference. I have the Xrays attached. Please help so that I know where to send him for proper help.

This question includes photos that may contain sensitive content. Click to view.

View more to consider that the photos may include sensitive content.

1 Answer

Most Helpful Answer

Image profile

Answered By Rodrigo Roca, DVM

Veterinarian

Published on August 17th, 2017

Hello, sorry to hear about Baloo. His elbows definitely show signs of arthritis. Elbow arthritis is common in Rottweilers has 3 components to it. 2 of these components, a fragments coranoid process and an ununited anconeal process can cause moderate to severe pain. The therapy for this disease includes surgery to remove the chipped bone fragments in the joint. You should consult with an orthopedic surgeon regarding Baloos elbow disease so that his problem can be addressed. In the mean time, you can ask your veterinarian for additional pain meds to try and help keep Baloo as comfortable as possible. Hope this helps and best of luck

Vote icon

1Pet Parents found this answer helpful

image
Have A Vet Question?

Book an appointment with the pros – our expert vets are here to help.

Sponsored