Petco Text Logo
Petco Pet Logo

My German Shepherd has fluid in her belly and is struggling to breathe

Updated On September 23rd, 2025

Pet's info: Dog | German Shepherd | Female | spayed | 7 years and 10 months old | 85 lbs

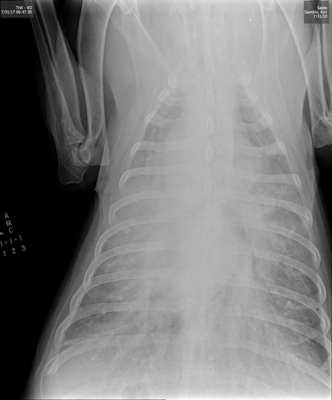
7 YR OLD GERMAN SHEPHARD, FLUID IN BELLY, HEAVY PAINTING, RAPID HEARTBEAT,STILL EATS, NO POOP, NO VOMIT, VET SAID SHES DYING SOON, BUT NO BLOODWORK WAS DONE AND GIVEN PREDNISOLONE & CLAVAMOX. HE SAID MAYBE CANCER, OR HEART, OR CIRVO SHES GETTING WORSE STILL HAVE NO ANSWER TO WHAT IS THE MATTER TO START TRYING TO HELP HER

This question includes photos that may contain sensitive content. Click to view.

View more to consider that the photos may include sensitive content.

1 Answer

Most Helpful Answer

Image profile

Answered By David Darvishian

Veterinarian

Published on August 2nd, 2017

Hi and thanks for using Petco Pet Education Center, formerly Petcoach! I'm so sorry to hear about Sadie. This sounds very serious. Anytime there is fluid in a body cavity, the situation is serious. I would need to know more to give a better answer but in a German Shepherd dog of this age, one thing is likely and that is a tumor of the spleen. These are called hemangioma or hemangiosarcoma or it could even be a hematoma or benign growth on the spleen that is bleeding. These are usually a surgical emergency especially if they are bleeding into the abdomen. Depending on what type of Other reasons for fluid to accumulate in the belly would be heart disease, liver disease, other tumors or masses in the abdomen, kidney problems. A tap of the abdomen (abdominocentesis) would reveal what the fluid is and maybe how to proceed. I would advise taking Sadie back to your vet or taking her somewhere else for a second opinion if you want to try to do something with her. And I would advise this as soon as you can get her there. Not sure if surgery is an option and that would depend on her condition and what you do comfortably afford for her. I'm so sorry again and I really hope that she gets better very soon.

Vote icon

1Pet Parents found this answer helpful

image
Have A Vet Question?

Book an appointment with the pros – our expert vets are here to help.

Sponsored