Petco Text Logo
Petco Pet Logo

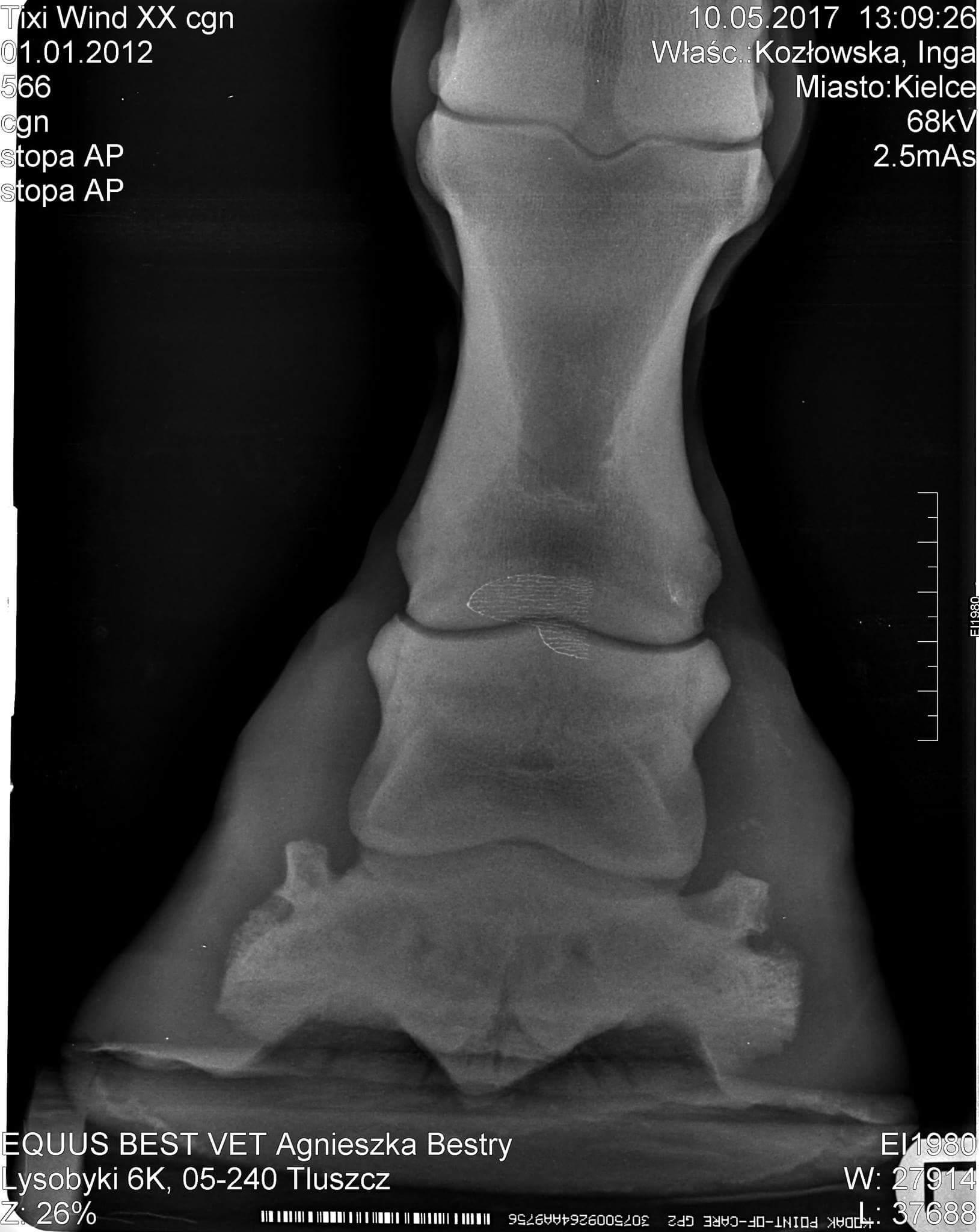
My horse has navicular syndrome. Could X-rays show sidebone?

Updated On September 23rd, 2025

Pet's info: Farm Animal | Horse | Female | 9 years and 3 months old | 1200 lbs

My 9 yo mare was diagnosed with navicular syndrome. Could you please take a look at those x-rays to See if you can also tell its navicular syndrome or maybe something else? Just want to double check while we are waiting for another vet. Thank you so much

This question includes photos that may contain sensitive content. Click to view.

View more to consider that the photos may include sensitive content.

1 Answer

Most Helpful Answer

Image profile

Answered By Dr. Strydom, DVM

Veterinarian

Published on July 2nd, 2017

Hi there. To me it looks like sidebone. Here is the link to an article about sidebone in horses: http://www.clydevetgroup.co.uk/equine/newsletters/dec07.htm I think the navicular bone itself looks OK to me however, when I zoom into the photo some detail is lost and it makes it difficult to evaluate. Also, you don't have all the x-ray views here for me to throughly evaluate the navicular bone. There should be a lateral view. That being said, I see no cones, lollipops or cysts on the navicular bone which are all things you can see with that disease process. Without knowing much of the history and what tests your vet has or has not done - just going on these x-rays - I would say the problem is sidebone. I hope this helps. Best wishes to you.

Vote icon

1Pet Parents found this answer helpful

image
Have A Vet Question?

Book an appointment with the pros – our expert vets are here to help.

Sponsored