Petco Text Logo
Petco Pet Logo

My dog has a suspected tumor. Can we diagnose and avoid amputation?

Updated On September 23rd, 2025

Pet's info: Cat | Mixed Breed | Female | 2 years old | 6.61 lbs

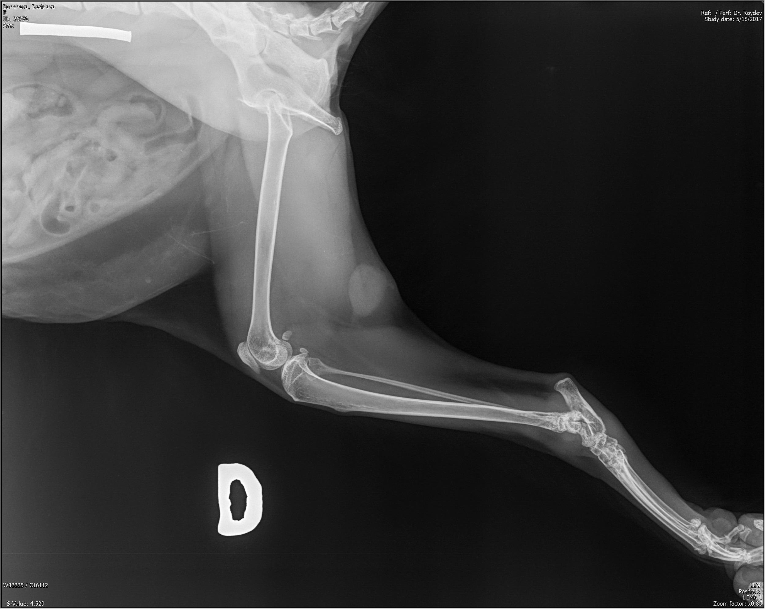
Hello, for about 6 months ago started to limb with her back right foot, when walking. We went to various doctors. For 1 month and a half she keeps her sick leg high in the air. Doctors think it is a tumor and we need to remove her leg. We don't have any bio tests done, only pictures. She is two years old. Can you tell from the pictures if it is a tumor and if so, are there alternatives?

This question includes photos that may contain sensitive content. Click to view.

View more to consider that the photos may include sensitive content.

1 Answer

Most Helpful Answer

Image profile

Answered By Lindsey Edwards MVB, BSc, IVCA

Veterinarian

Published on May 20th, 2017

It does look very suspicious for a tumour, a biopsy could be performed to confirm what is the underlying nature prior to amputation, referral to a veterinary university or specialist oncologist would ensure all options are fully explored for Audrey

Vote icon

1Pet Parents found this answer helpful

image
Have A Vet Question?

Book an appointment with the pros – our expert vets are here to help.

Sponsored